- K
- S
I am hoping to raise funds to help cover costs associated with my brain surgery and cancer treatment, and help with household bills and needs of our children while I am unable to work as I once did.
Transportation and growing incidental costs have become a great burden.
I require frequent trips multiple times per week from Ladysmith, WI to Eau Claire, WI; and regular trips to Rochester, MN. There is a mileage reimbursement program we are utilizing, but it is delayed in approving compensation, requiring us to cover the cost of gas up front.
What has led us to this point -
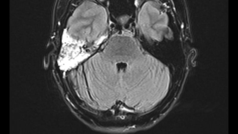
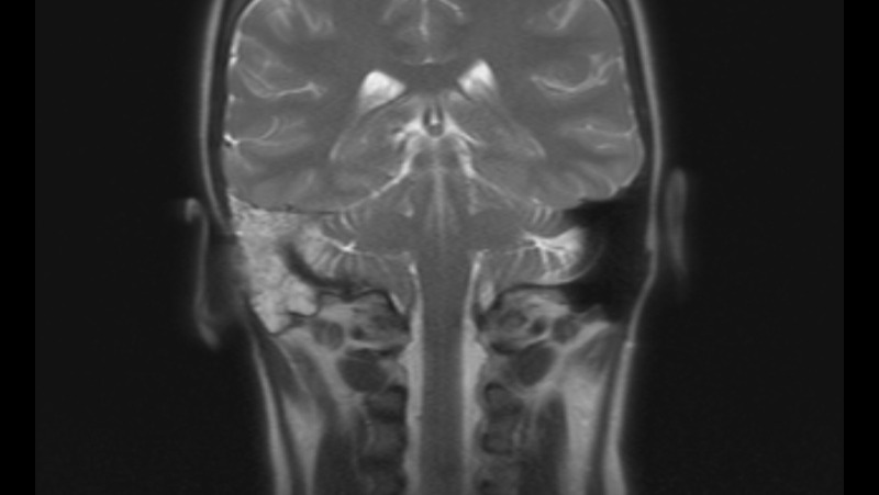
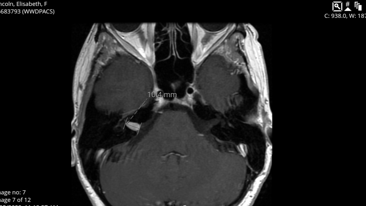
On May 25, 2022, after experiencing debilitating symptoms, I was diagnosed with an Acoustic Neuroma brain tumor.
The tumor had enveloped my auditory nerve and while small was also causing significant damage to my facial and vestibular nerves.
A retrosigmoid craniotomy to remove the tumor was performed on August 12, 2022 at Mayo Clinic in Rochester, Minnesota. This is highly invasive surgery, requiring the retraction of the cerebellum for several hours and highly skilled neurosurgeons.
Two days after my brain surgery I developed a life threatening cerebrospinal fluid leak. I endured a spinal tap without localized pain meds, repeated lumbar drains, then another cranial surgery to repair the leak. This repair involved temporarily cutting off my right ear and placing a fat graft within my skull.
Since these surgeries I have endured chronic cranial pain at levels of 4 to 6 out of 10. Depending on circumstances the pain rises to 8 or 9 out of 10 regularly. I have barely slept since the surgeries as I must take medication every 6 hours around the clock just to maintain my "normal" pain level. Because of the damage to my vestibular nerve, I needed a cane to walk until March of 2023. Because of the need to remove my auditory nerve along with the tumor, I am now permanently deaf on my right side. I also have constant roaring tinnitus, and a significant build up of unresolved fluid.
I will need a yearly brain mri to monitor for tumor regrowth. My neurologist has recently prescribed physical therapy to begin late November 2023. He believes the severing of a major nerve in my neck is responsible for the majority of the chronic pain, and that massage may relieve it to a degree without the need for additional medication.
We thought the brain tumor, surgeries, and the subsequent recovery would be extent of our major trials for awhile.
However-
A suspicious lump in my chest led to the diagnosis of Stage 3 HR+ HER2- Invasive Ductal Carcinoma Breast Cancer on February 13th, 2023.
This diagnosis came only 6 months after the cranial surgeries.
Treatment so far has been and continues to include:
Chemotherapy from March through July 2023 in the form of four infusions of Doxorubicin and Cyclophosphamide, then four infusions of high dose Taxol.
Surgeries in the form of Lumpectomy and Axillary node dissection on September 1st 2023
Daily aromatase inhibitor in the form of Anastrozole, soon to switch to Letrozole to be taken for at least 5 years.
Lupron injections every 3 months for 2 years.
Regular Zometa infusions to offset the detrimental effects to my bones by my other treatments.
Nineteen daily radiation treatments covering a large area of right side of chest and underarm. The last four treatments being targeted to where the cancerous tumor was removed. These will be completed on November 14th, 2023.
*Update* - This part of my treatment is now on hold, pending clearance by my Dentist.
Verzenio to begin on November 20, 2023. This is a targeted cancer treatment that works within cells. This drug is notorious for causing side effects similar to chemotherapy, and is classified as oral chemo by my team. To be taken for two years.
While the cancer is technically in "remission" there is no way to know if it is as yet elsewhere in my body undetectable at present levels. There was lymph node involvement and remaining cancer after chemotherapy, putting me at high risk for recurrence and the possibility the cancer has spread. I am doing everything within my power through faith, prayer, nutrition, and modern medicine to eradicate it.
The ever present cranial pain has made an already difficult course of treatment at times nearly unbearable.
I fight to remain here to raise my young children and be present for those grown, to stay by my husband Dean's side, and fulfill God's calling on my life.
One of my greatest joys is serving on our church worship team alongside Dean. We have been called to minister together through music. I continue to play bass guitar and serve our church whenever I have the strength.
I also find great joy in sewing and knitting. I maintained a successful business doing both for over 10 years.
Below is a picture of my hand knitted vest on John Rubinstein as Grandpa Joe in Charlie and the Chocolate Factory on Broadway.
I created 17 pairs of socks and 2 sweater vests for the production in 2017.
I prayed over every completed piece before shipping them to NYC. Prayers that God would bless the actors wearing them, and for the Holy Spirit to work in their lives. Ultimately praying for their salvation and strengthening of their faith.
Due to the brain tumor and now cancer treatments, I have been unable to work beyond making simple items for many months.
Dean is a skilled musician and machinist, and has become my caregiver and caretaker of the children and home through my surgeries and treatments. We have been married 28 years and he is the love of my life, my rock.
Our family has been blessed through these trials by the support of our church, a wonderful local community group, and longtime friends.
To all we are forever grateful.
When I have recovered from the radiation treatments, I plan to start a local faith based cancer support group in Ladysmith, WI.
I am hoping to begin meeting in January of 2024.
A space downtown has been offered and plans are underway.
It will be called F.O.C.U.S. - Faith Over Cancer, United in Support.
I believe part of God's plan for my life is to help provide prayer, hope, and resources to anyone diagnosed with cancer as well as their caregivers and family members. Without my own faith I would not be here or doing as well as I am. Faith is literally my given middle name, and I am called to live up to it.
I trust in the healing power of God. I believe I will triumph over the pain and sickness that has afflicted me. For some dear brothers and sisters fighting through these trials, the victory comes when they are welcomed into heaven. I plan to serve God on this earth for many more years, but if that's not my destiny I know exactly where I'm going and the Glory that awaits.
Thank you for caring enough to read our story, and for your help.
Meeting or exceeding the fundraising goal would be a tremendous blessing to our family. It would allow Dean and I the ability to concentrate on my recovery and health. It would enable us to spend more time together with our precious children. It would provide reassurance and bear witness to others that God sees and knows our needs, and will provide. ❤
- But my God shall supply all your need according to his riches in glory by Christ Jesus. - Philippians 4:19

