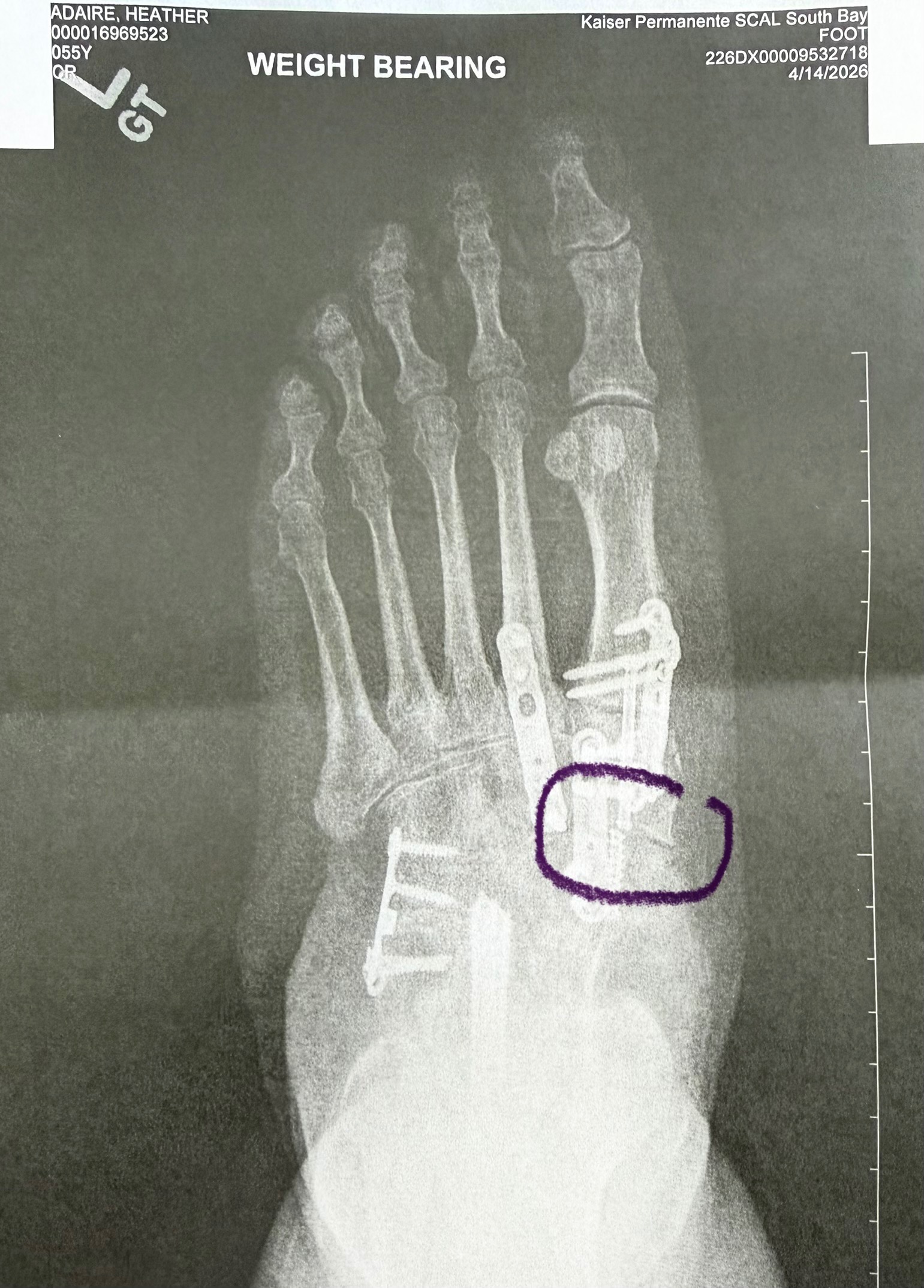
Over the past several months, I have faced a series of unexpected medical challenges. After undergoing surgery, I experienced complications that led to multiple trips to the emergency room. Just as I was hoping to recover, I learned that I need another surgery to repair broken hardware in my foot, which will take place on June 3rd. This news has been overwhelming, especially since it means I will be unable to work for at least six months while I heal.
As someone who values independence, it is difficult for me to ask for help. However, the mounting medical bills and the reality of being out of work have left me with no other option. The funds raised through this campaign will go directly toward covering my medical expenses and essential living costs during my recovery period. Every bit of support will help ease the financial burden and allow me to focus on healing.
I am a humble person who only asks for help when it is absolutely necessary. I am extremely grateful for any support, whether it is a donation or simply sharing my story. Thank you for taking the time to read about my situation and for considering a contribution. Your kindness means more than words can express.






