- D
- B
My dog Draco is only one year old, and he means absolutely everything to me. He’s not just my pet—he’s my best friend, my comfort, and a huge part of my everyday life.
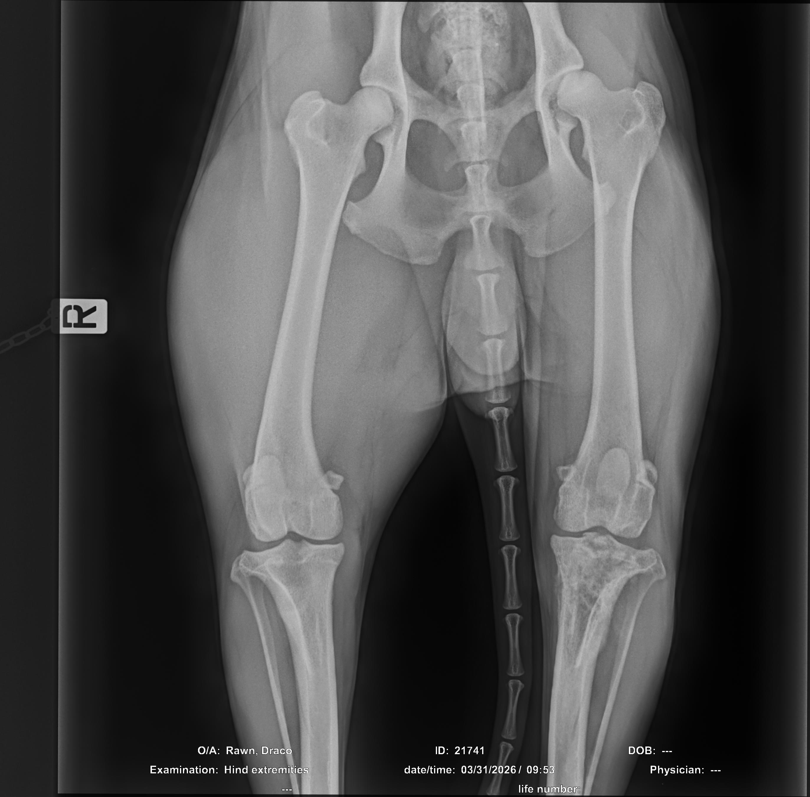
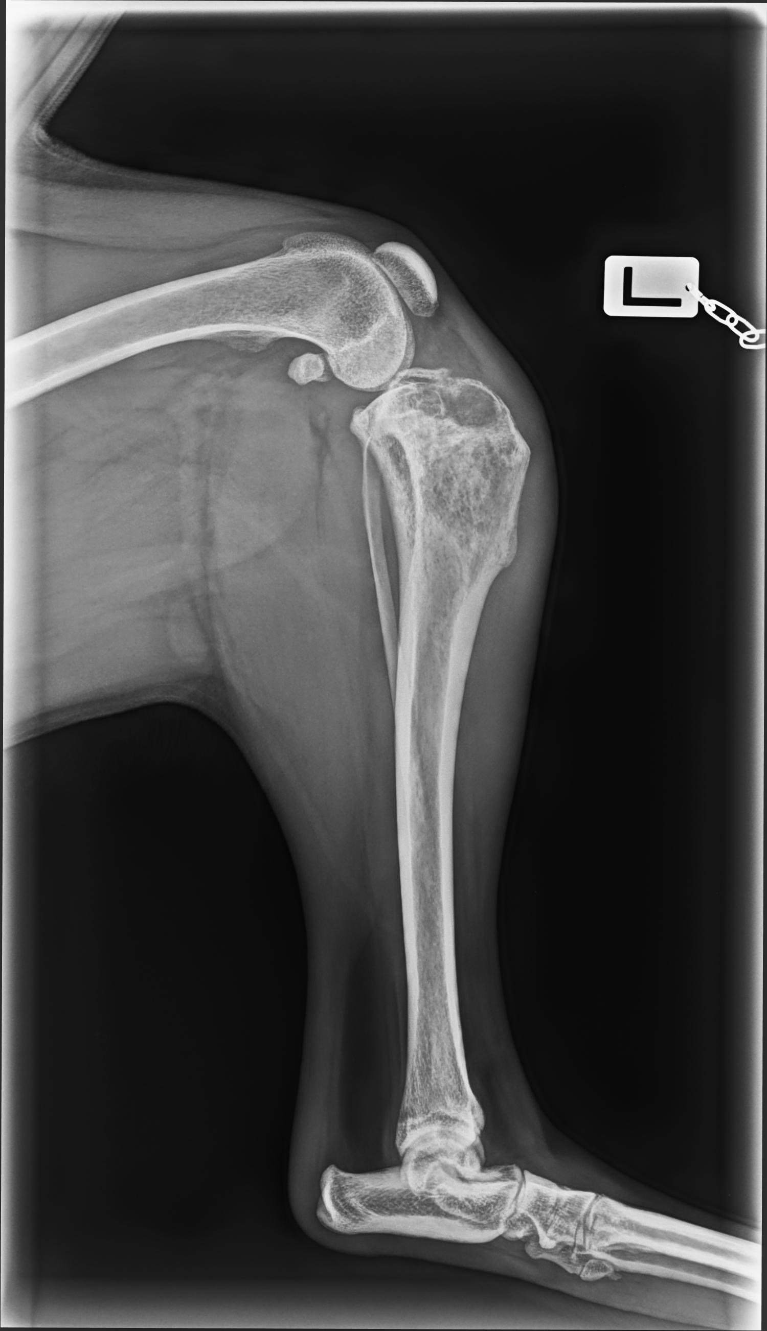
About two months ago, I started noticing something wasn’t right with his left leg. After vet visits and tests, I received the devastating news that Draco has cancer in his leg. Hearing that at such a young age has been heartbreaking.
Despite everything, Draco is still the same loving, happy dog. He still wants to play, be by my side, and enjoy life. The only way to give him a real chance at a longer, pain-free life is surgery to remove his leg.
This decision hasn’t been easy, but I will do anything to give him that chance to keep living the life he deserves.
Unfortunately, the cost of the surgery and recovery is more than I can afford right now. I never thought I would have to ask for help like this, but I can’t do this alone.
If you’re able to donate, even a small amount, it would mean the world to us. If you can’t, sharing this page would help more than you know.
Thank you so much for taking the time to read Draco’s story and for any support you can give. From the bottom of my heart, I am so grateful.






