Hello, my name is Salim Qannita. I am a husband to my wife Feryal and father to our precious two children, Rafif and Hosny. We are residents of the war stricken Gaza Strip. I am writing to bring urgent attention to my critical medical condition. I am in desperate need of life-saving medical treatment.
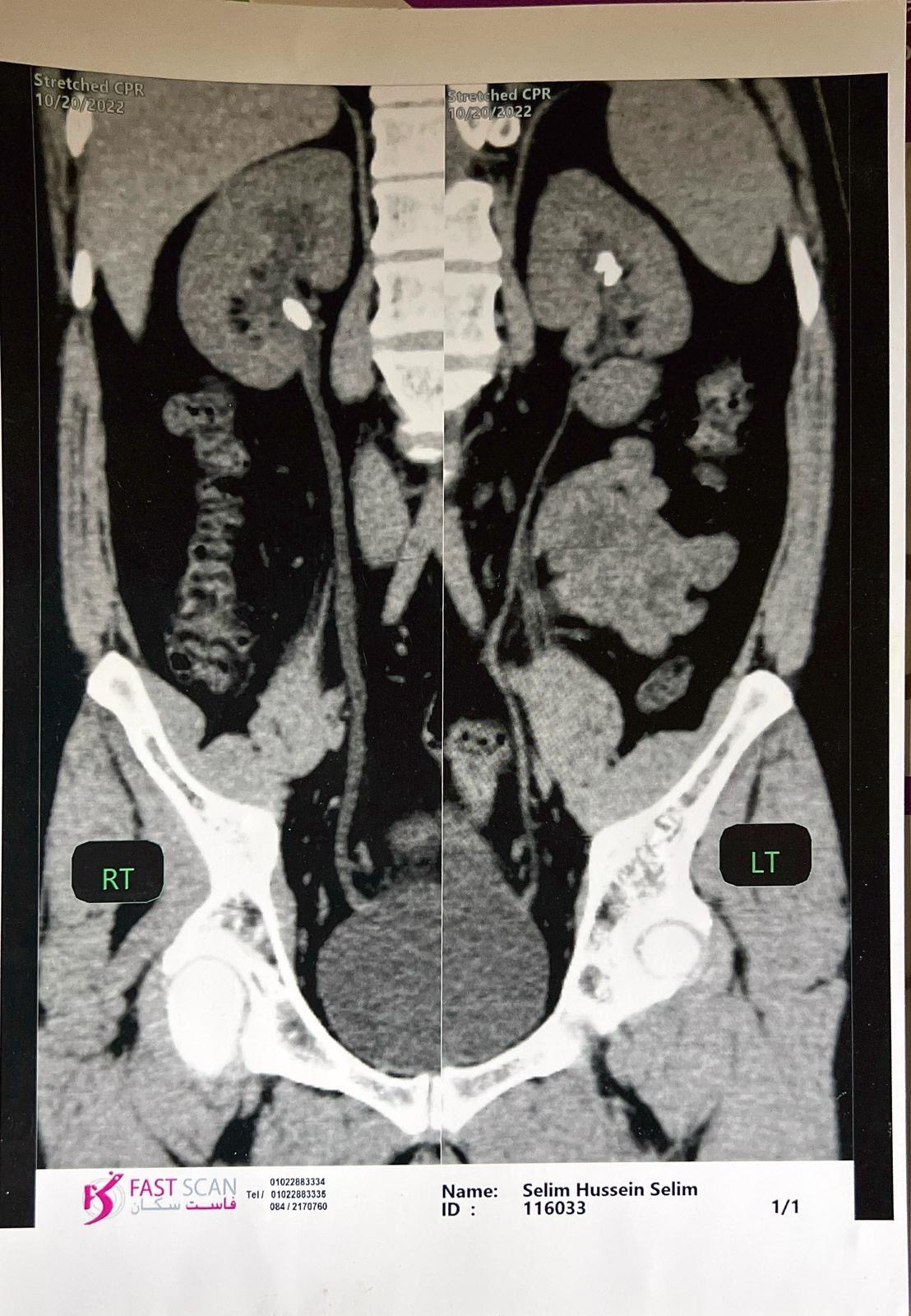
I am currently suffering from a severe kidney stone measuring four centimeters in length, a condition that is causing me excruciating pain on a daily basis. Due to the severely limited healthcare infrastructure in Gaza, there are no available facilities or specialists capable of performing the necessary surgical procedure to remove the stone.
As a result of the pain, I have been forced to take up to 20 painkillers a day, which poses its own serious health risks. If left untreated, the kidney stone threatens to lead to irreversible kidney damage or complete kidney failure.
The only viable option for me is to travel abroad for urgent medical intervention. However, this requires funding for travel, treatment, and recovery costs—resources I simply do not have access to.
I am appealing to compassionate individuals, organizations, and the international medical community to help fund my medical evacuation and surgery. Every contribution could help save my life and bring an end to the relentless pain I endure daily.
Please consider helping me get the care I urgently need. Time is critical.
Thank you for your support and humanity.
With hope,
Salim H. Qannita


