Hello friends!!
If you know me, you know I do not like asking for help, but I believe this is a time when it is truly needed.
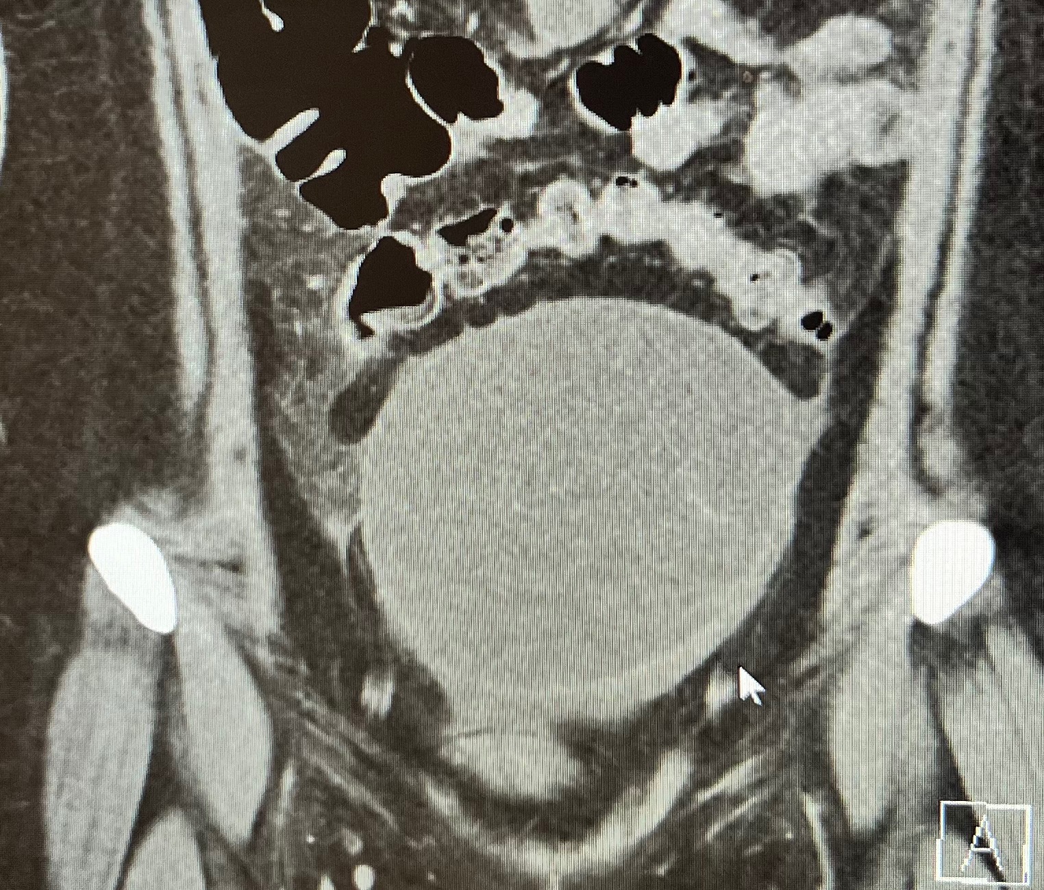
Over the past few months, I have been navigating some unexpected health challenges. I was diagnosed with a large pelvic mass on my left ovary that has continued to grow, along with an elevated CA-125 level. In October, I also experienced sepsis caused by a UTI, which doctors believe may have been related to the mass putting pressure on my bladder.
I have surgery scheduled for January 9th with a gynecologic oncologist, during which the mass will be removed along with my left ovary and left fallopian tube. Recovery is expected to take 6–8 weeks leaving me unable to work. Following surgery, I will also undergo additional testing to better understand the next steps in my care.
Some of my medical expenses occurred during a period when my insurance was unknowingly cut off, which resulted in unexpected out-of-pocket costs. While I am insured now, those bills remain as I prepare for surgery and recovery.
During this time, I will be navigating current and previous medical expenses, regular bills, and time away from work. I am sharing this to ask for support as I focus on healing and recovery. Any amount, prayers, encouragement, or sharing is very appreciated.
Thank you for your prayers, support, love, and encouragement for me during this season. The Lord has truly blessed me even in the midst of hardship. The Lord is good and faithful.
“I will praise you forever, O God, for what you have done. I will trust in your good name in the presence of your faithful people.” Psalms 52:9 NLT
“I pray that God, the source of hope, will fill you completely with joy and peace because you trust in him. Then you will overflow with confident hope through the power of the Holy Spirit.” Romans 15:13 NLT
“For our light and momentary troubles are achieving for us an eternal glory that far outweighs them all.” 2 Corinthians 4:17 NIV
“My life is an example to many, because you have been my strength and protection.” Psalms 71:7 NLT





