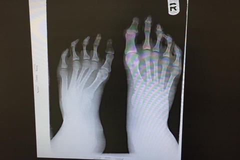
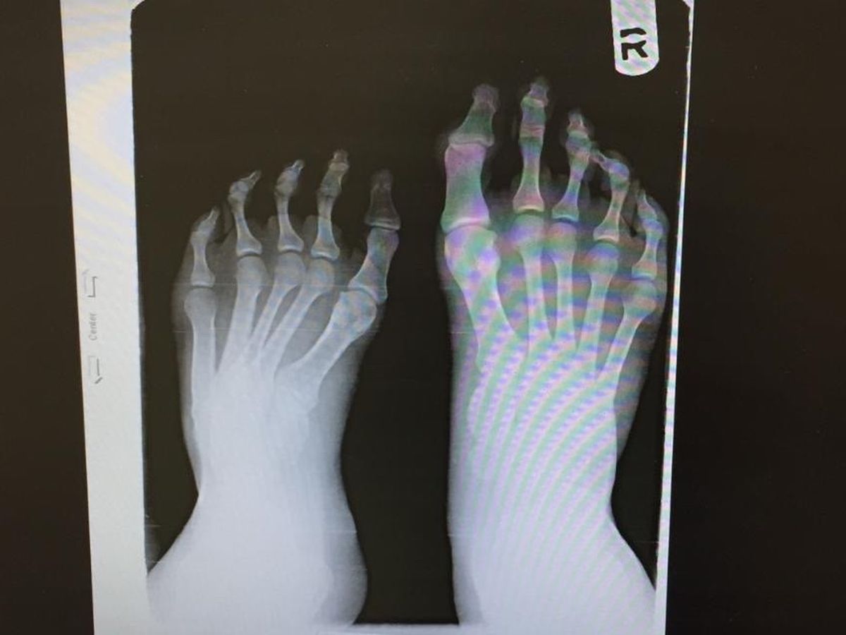
As many of you know, my brother Dj aka Derek has been battling with club foot since he was born. With unsuccessful reconstructive surgeries as a baby, his leg began to develop differently than the other. The pain and issues he had as a child stopped him from his love of playing football. He had to always buy shoes that fit one foot, but was 3 sizes too big for his club foot. After years of various braces, supports, stockings and on going struggles, he kept on going.
In 2014 he had his first complete reconstructive surgery. For months he wore an external fixator which every day needed to be turned to slowly reconstruct the bones in his foot, toes & ankle. He worked with his Dr for two years between physical therapy, readjustments, more braces, casts and special shoes. This surgery not only caused my brother to have a permanent limp, but now was in CONSTANT pain. He went from running, walking long periods of time and being a normal young 20 year old guy to one who cannot run, and walks with a struggle.
After this surgery and years of struggle... he was now worse off than before. This never stopped him.. he kept on working, he kept on fighting and he never let it get in the way of his happiness. After some time, Dj came in contact with a special team of Dr’s in NYC. Hoping to keep his foot, he went to this team and after months and months of appointments, pictures, preparation and OUT OF POCKET EXPENSES, he was ready for his SECOND reconstructive surgery! Although this one corrected a lot of the wrong doings from before, it never fixed the issue of pain and limping he now suffered from.
My brothers options are running out. This surgery was supposed to be his last chance before amputation. NOW!!! Thank god, with so many months of research with his DR they found a very special but expensive brace that may save his foot!!
This is my brothers last chance of keeping his foot. The team is located in the state of Washington and will require a minimum of two weeks to get the correct size brace, under go some physical therapy, etc. He will need to pay for 2 separate round trip flights, a hotel, food out of his own pocket ALONG WITH THE PERMANENT BRACE!! The minimum cost for the brace alone is 10k or more. I will do whatever I can to help my brother and I hope you will too. Anything helps! My brother is not and has not worked in years due to his first surgery. He has saved and worked on cars where he could but we all know these are tough times. I want to see my brother able to do the things he loves and to become a police officer which is his dream job. This brace could be the answer to his prayers. If you can donate anything to help him get back on two feet, I’d be forever in your debt!
https://hangerclinic.com/blog/featured-technology/hanger-clinic-exosym/ Here is the link for the hanger clinic where his brace will be made!




In 2014 he had his first complete reconstructive surgery. For months he wore an external fixator which every day needed to be turned to slowly reconstruct the bones in his foot, toes & ankle. He worked with his Dr for two years between physical therapy, readjustments, more braces, casts and special shoes. This surgery not only caused my brother to have a permanent limp, but now was in CONSTANT pain. He went from running, walking long periods of time and being a normal young 20 year old guy to one who cannot run, and walks with a struggle.
After this surgery and years of struggle... he was now worse off than before. This never stopped him.. he kept on working, he kept on fighting and he never let it get in the way of his happiness. After some time, Dj came in contact with a special team of Dr’s in NYC. Hoping to keep his foot, he went to this team and after months and months of appointments, pictures, preparation and OUT OF POCKET EXPENSES, he was ready for his SECOND reconstructive surgery! Although this one corrected a lot of the wrong doings from before, it never fixed the issue of pain and limping he now suffered from.
My brothers options are running out. This surgery was supposed to be his last chance before amputation. NOW!!! Thank god, with so many months of research with his DR they found a very special but expensive brace that may save his foot!!
This is my brothers last chance of keeping his foot. The team is located in the state of Washington and will require a minimum of two weeks to get the correct size brace, under go some physical therapy, etc. He will need to pay for 2 separate round trip flights, a hotel, food out of his own pocket ALONG WITH THE PERMANENT BRACE!! The minimum cost for the brace alone is 10k or more. I will do whatever I can to help my brother and I hope you will too. Anything helps! My brother is not and has not worked in years due to his first surgery. He has saved and worked on cars where he could but we all know these are tough times. I want to see my brother able to do the things he loves and to become a police officer which is his dream job. This brace could be the answer to his prayers. If you can donate anything to help him get back on two feet, I’d be forever in your debt!
https://hangerclinic.com/blog/featured-technology/hanger-clinic-exosym/ Here is the link for the hanger clinic where his brace will be made!




Organizer and beneficiary
Derek Rottmann
Beneficiary

