- L
- S
Ciao, mi chiamo Magò, sono nata il 21 Aprile 2024, ma non si sa molto dei miei primi mesi di vita, mi hanno accalappiata ad Agrigento quando ero solo una cucciola insieme alle mie sorelle: la mia è la solita storia di abbandoni e randagismo nel Sud Italia, trita e ritrita (penserete) e invece c'è di più.
Sono arrivata a Cuneo, in stallo presso una volontaria che mi ha fatta sterilizzare e poi ad Asti, dove mi attendeva una possibile adozione ma prima un altro stallo da una volontaria della L.E.I.D.A.A, Francesca: quando mi ha portato a casa si è resa conto che avevo qualcosa che non andava alla zampa posteriore sinistra, mi ha fatta visitare e lastrare da dottori bravissimi che si sono innamorati del mio musetto dolce ma che hanno confermato il suo timore.
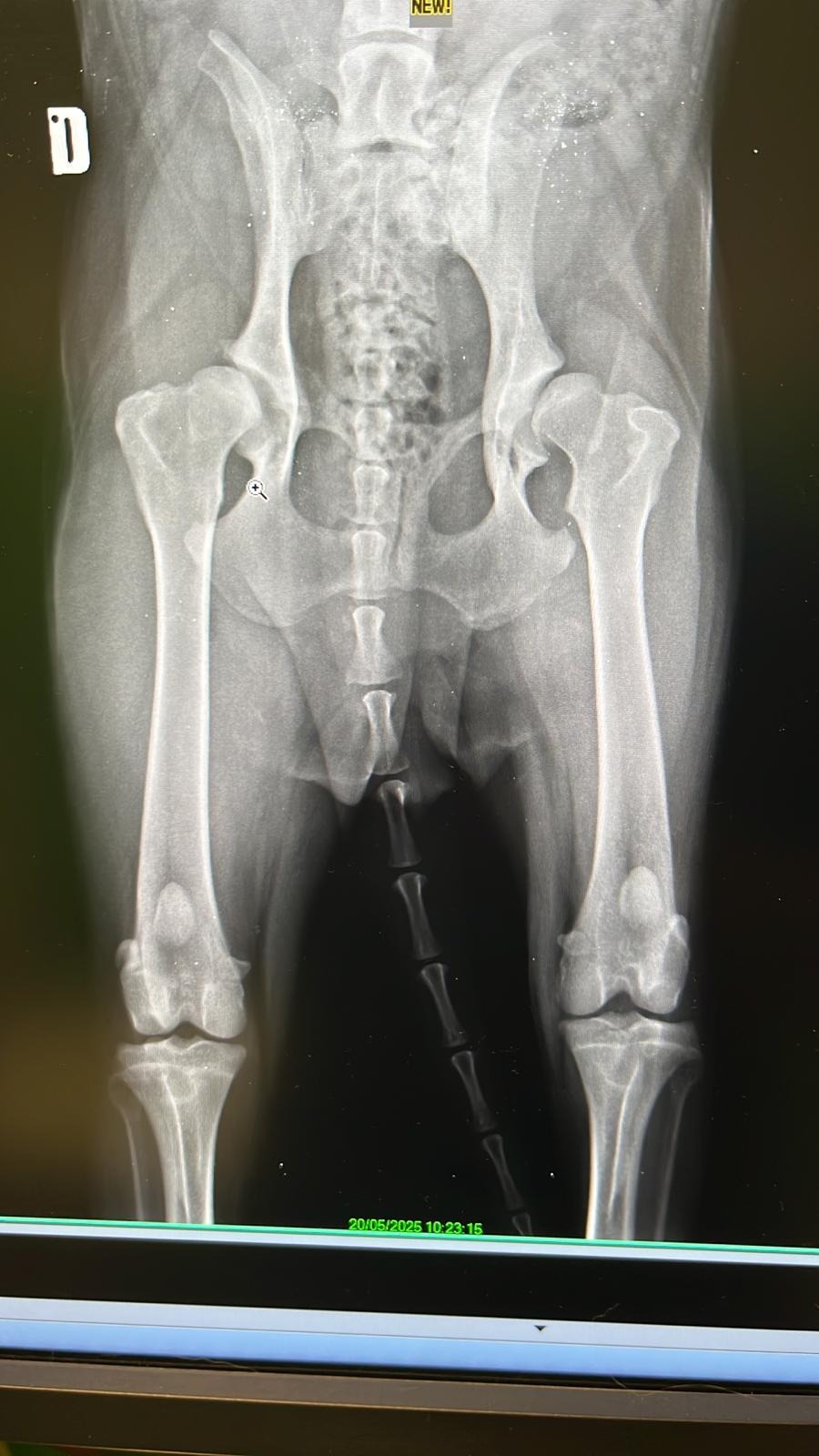
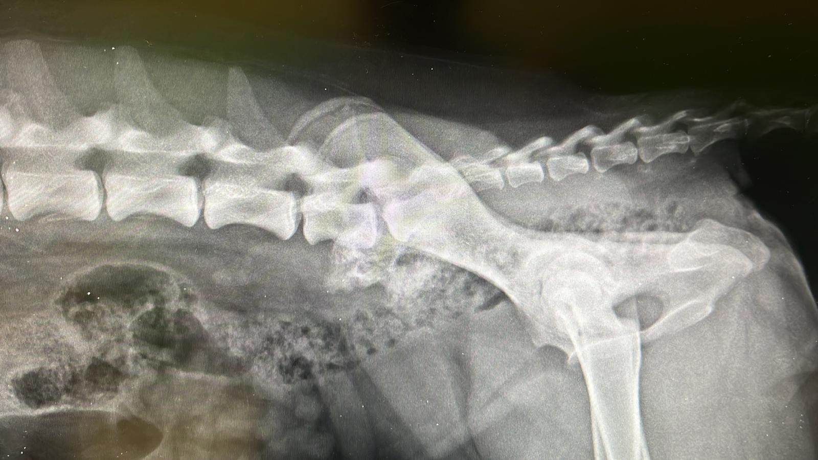
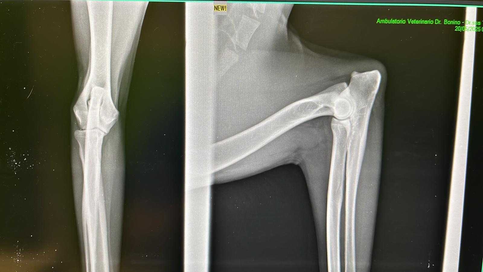
Purtroppo la mia situazione è un disastro: ho un brutto problema all'anca sinistra e alla regione sacroiliaca, non appoggio la zampa e non ho muscolo, la diastasi sacroiliaca non si sa se sia conseguente ad un investimento o a delle botte, ma sicuramente ha origine traumatica, sarà necessario effettuare una risonanza magnetica e una visita neurologica per capire se e come procedere per inserire una protesi nella mia anca che mi permetta di camminare e mi possa dare una vita "normale".
Io sono solo un cane e non capisco queste cose, ma la tata Francesca mi ha spiegato che per fare questi esami e per la mia operazione e per la fisioterapia successiva servono tanti soldini che non abbiamo, quindi abbiamo deciso di chiedere un aiuto a chi può, a chi vuole, per provare a darmi una zampetta nuova e una vita senza dolore all'anca, tante corse e una famiglia tutta per me...
Mi date una zampa?
Ve ne sarò per sempre grata
Magò
(La raccolta fondi è organizzata ed autorizzata dalla L.E.I.D.A.A., Lega Italiana Difesa Animali e Ambiente, tutto il ricavato verrà utilizzato per gli accertamenti e l'operazione di Magò: qualora la cifra raggiunta superasse i costi sostenuti, tutta la somma restante verrà devoluta per le spese di mantenimento e cura degli altri cani e gatti in carico alla sezione di Asti, il tutto sarà dimostrato dalla pubblicazione delle fatture e delle ricevute fiscali )






