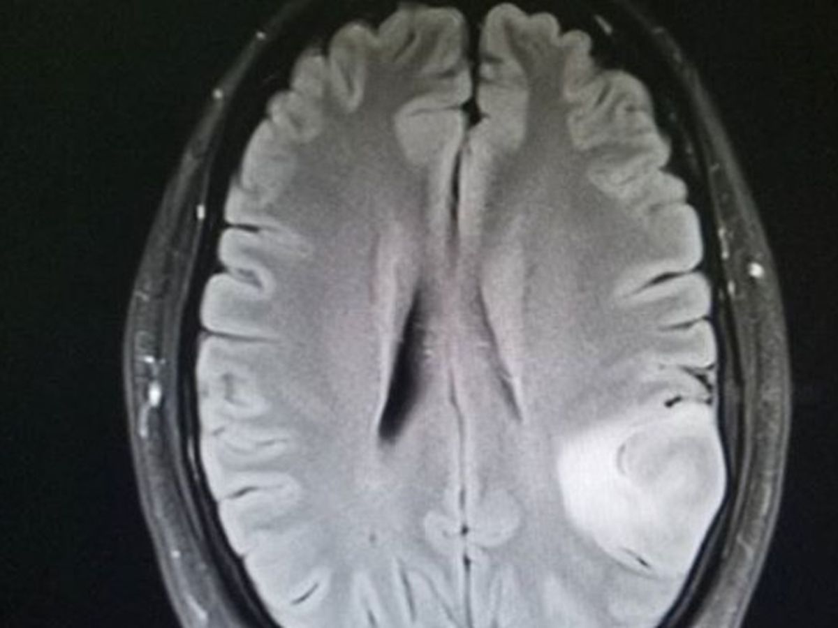
On 7/17/2017, my husband starting have trouble speaking.  We never knew what journey was ahead of us. On 7/19/2017 he had a brain tumor removed which was 4x4x3. The doctors are guessing its grade 3 at the moment, but we are awaiting 2nd biopsy results from UVA. We are expecting lots of bills from the hospital, in which David cannot work right now to pay. The amount I chose is how much his out of pocket is, I know it's highly unlikely but I dont want him stressing over bills. I'll keep everyone  updated as we find out more. 





Organizer
Trisha Wright
Organizer
Roanoke, VA

