- R
- K
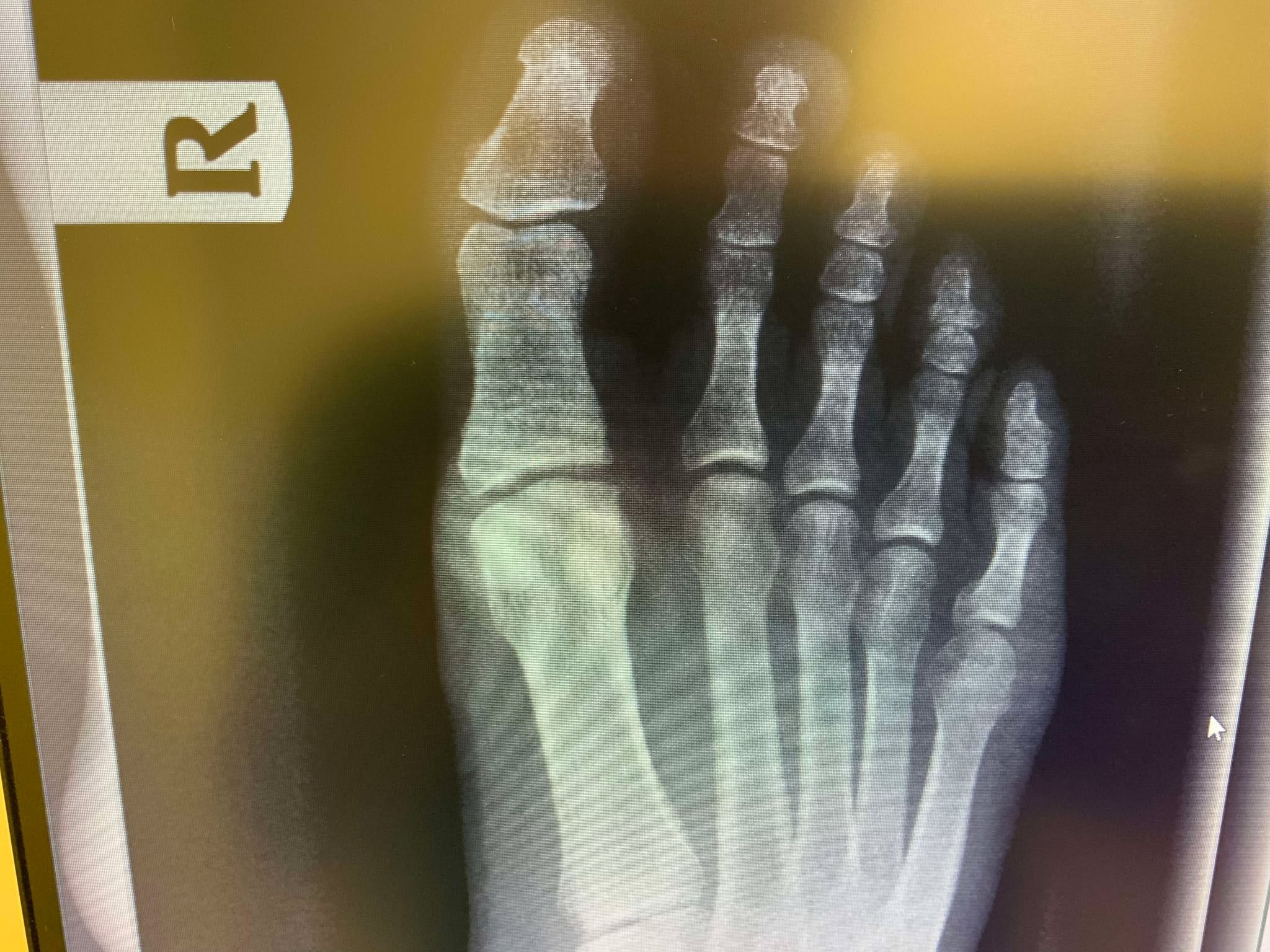
I'm an author and journalist with an amazing family and a small desert ranch in Southern California. I love our little hobby farm, but unfortunately it was one of our 250-lb goats that stepped on me almost nine months ago and broke a small bone in my right foot. My surgeon informed me that it hasn't healed, and that it won't heal, so he needs to remove the bone itself to keep the pain from lasting my entire life (fortunately, as he says, this bone is the tonsils of the toes, in that it is removable without ruining my ability to walk long term). I actually have health insurance, but the surgery is $18,000, and my plan only covers $10,000 of that. I'm expected to pay $8,000 up front at the time of surgery, which is in 10 days, and there are also special shoes and inserts, etc., I will need for recovery. In total, my share of the costs will be around $12,000. With the cost of maintaining about 100 total rescue animals on our ranch, I know I can't do that alone. I'm really hoping some of you out there are willing to chip in and make this a little easier. I sincerely appreciate all of you who read this, and those who contribute have my undying gratitude. Thank you all.
David



