- h
- M
- K
Hello this is I Helped Save Rescue. We are currently raising funds so Daisy can get the surgery she needs for her broken leg.
We recently rescued sweet little Daisy.
She was found in an abandoned home in California, ended up in the shelter system where we heard of her and rescued her from.
She made her way to Canada on March 3rd. She was scheduled for her spay March 14th. She was well on her way to being ready for adoption.
Fast forward to the present, she jumped off the table at her foster home, and landed awkwardly. Her foster family took her to the vet early this morning.
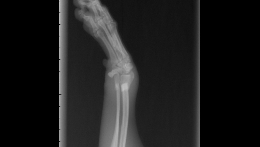
The vets called us and said they need to sedate her to do x-rays. She has two broken bones on her leg. Will attach photos of the X-rays.
The vets said she needs surgery, they sent the X-rays to a surgeon to give us a quote.
Estimate is $3,160.73 for Daisy's surgery where they need to put a plate in.
We also spent just over $400 on her X-rays and visit today.
Daisy is just 12 months old, and has her whole life ahead of her.
She loves kids, other dogs, and cats. She's just the sweetest little 7lb girl and we hope we can raise the funds needed so she can get her surgery done! (The surgeon is able to do her surgery on Monday).
If you are able to contribute even a small amount towards our goal, we and Daisy, thank you greatly.
If you are unable to contribute financially, but still want to help, PLEASE share our fundraiser to your pages. (We could also use a local foster in Abbotsford for her to recover at but she is good where she is at currently)
Thank you in advance for your shares and donations. Please keep Daisy in your thoughts and prayers as she is currently on a bunch of pain meds and crate rest.

