UPDATE!...UPDATE!...UPDATE
4th of July 2016

CLICK HERE FOR MY STORY:
http://www.dailybreeze.com/health/20160430/redondo-beach-man-fighting-a-death-sentence-to-see-his-daughter-through-college
I am SO blessed. I am one of the first people to participate in The Vice President of The United States of Americas www.CancerMoonShot2020.org
Think of all the wealth and power Biden has. Yet he sadly hired my Doctor. Dr. Patrick Soon-Shiong to attempt a last ditch effort to save his son's life. But his son lost his battle. As everyone does with this type of Cancer. That was just a year ago! Same GBM grade IV Brain Tumor/Brain Cancer. Just because the technology just was not where it is today. Whether you hate or love Republicans or Demorcrates. Or whether you think "The Donald Trump" is an option. Cancer should not kill so many of our family members or close friends.
It's like I have literally won the lottery with regard to the health care I have been blessed to receive.
How many people can say their Dr. is one of the richest people in all of Los Angeles? My Doctor is worth at least $15 Billion!
The outpouring of LOVE and support is something I could have never imagined. I honestly do not know how I can repay someone who has saved my life!
Anthem Blue Cross has now paid over $1.5 Million Dollars in my health care. I have taken every penny and all of your financial support to pay my co pays. That and taking every dollar I had saved up.
No one ever gives an update to what happens to the donations they give. So here is my update:
Not only has every single penny you have sent made a HUGE difference to me and my daughter. But you have saved my life. I think the most valuable things I have received is peoples preyers. Becasuse of the preyers. Dr. Patrick Soon-Shiong has offered to pay the rest of my health insurance co pays in addition to the extreme cost of my "Immunotherapy Drugs".
That alone is about $200,000 a month. With 9 months to go.
So with this update. My goal is to once again say THANK YOU! I no longer need any help financial help saving my life.
I do humbley request that if you could share and post and then repost that a Law Firm named Baker and Burton has set up an IRS 539 Collage Trust Fund for my daughter Tiffany. It's tax decductable in case you need the write off.
Any check made out to "Tiffany's Collage Dream" will go into her Collage Fund. Or click on the link.
https://www.youcaring.com/tiffany-diamond-550909
If you can spare just $1 - One Dollar. It will make a huge differance to us. If you can not do that. Really. That is no problem. Just PLEASE keep the prayers coming!!!!!! They are more import than money. They are saving my life!
You never realize how life can change in an INSTANT!
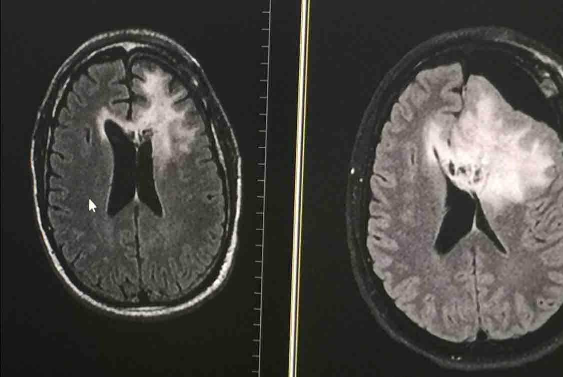
A word of advice......Live today like it is your last day on earth. Hearing the Doctor tell you that you have a Brain Tumor is bad news no matter how you try and spin it. Having the pathology report come back to tell you that the type of Brain Tumor you have is Glioblastoma-GBM is even worse news. Finding out that no one has lived from this tumor ruins the best of days. I am an eternally optimistic person. Always the life of the party. Always happy. But knowing I probably will not make it to the end of the year can definitely make for a sad and bad day. I have a lot to be thankful for. All my friends that have reached out and outpouring of “well wishes” and prayers that I have received have been emotionally overwhelming. I can never attempt to put into words how much my heart is bathed in the love and appreciation of feeling the awesome joy I feel from you. I truly appreciate the love.
I have been asked by a lot of you. “Is there anything I can do to help?”. The only thing I want for the rest of my life is to make sure my 13 year old daughter is taken care of. I am so grateful that the world’s top Neurosurgeon at UCLA was able to do my surgery. I have to admit it was kind of trippy them waking me up during Brain Surgery to talk to me and ask me questions. It was explained to me later that this was so they did not cut the wrong part of my brain out. I was so impressed by my treatment at UCLA, that my daughter now wants to go there. This is kind of a big deal because I went to USC. If I had a wish it would be to live to see her attend UCLA. I will remain positive and pray.
For those of you that expressed your desire to help. I humbly ask if you can donate just $1 to help out with two things. One is to pay for Tiffany’s UCLA College cost and second is to help fund a cure for this horrible brain tumor and take part in an experimental treatment by Dr. Patrick Soon-Shiong. You should Google him. I cannot think of a better Doctor to help save my life. At the very least. I will be able to help save someone else’s life in the future.
Since my surgery I have accepted into a clinical trial called www.MoonShot2020.org Even though my type of brain tumor KILLS EVERYONE! I have hope that I will be the 1 person who lives.







<iframe media_type="0" media_id="rSGUg6E-8Rk" class="youtube-replace" title="YouTube video player" style="margin-bottom:20px;width:560px;height:315px;" src="//www.youtube.com/embed/rSGUg6E-8Rk/?rel=0" frameborder="0" allowfullscreen="1"></iframe>
Here is a clip of the Doctor who is using experimental Nano technology and my own T-cells to fight my Brain Cancer.
<iframe media_type="0" media_id="R3hEm8O2AT4" class="youtube-replace" title="YouTube video player" style="margin-bottom:20px;width:560px;height:315px;" src="//www.youtube.com/embed/R3hEm8O2AT4/?rel=0" frameborder="0" allowfullscreen="1"></iframe>

