
Donate to help our Dad
Hi everyone! Let's cut to the chase.
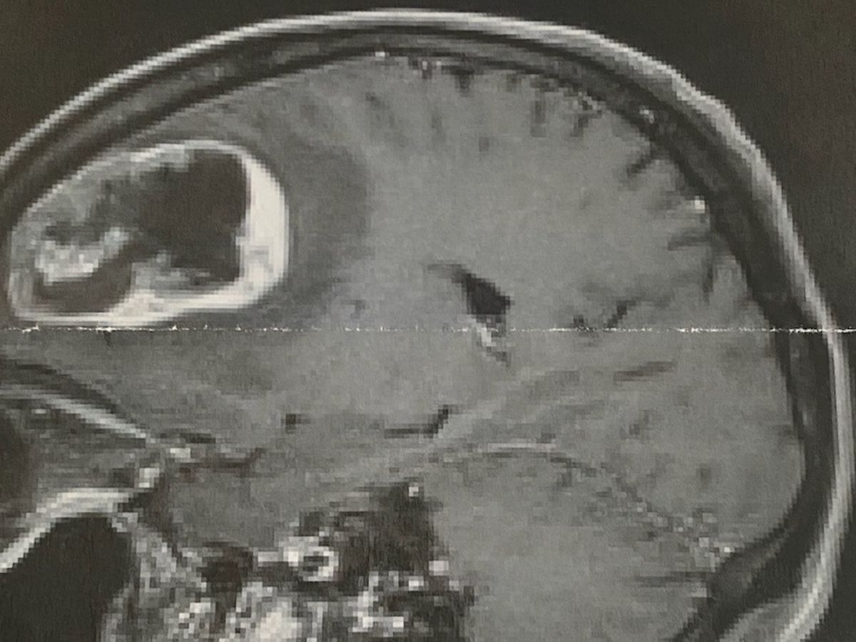
Pictured above is an MRI showing the tumor in our dads (Robert Williams aka Bob) brain.
(Bit of background) Our dad had shown a drastic change in his behavior seemingly overnight. This normally friendly, busy-bodied and headstrong man, was suddenly withdrawn, forgetful, and unable to have a conversation. It was finally decided that he needed to see a doctor.
Now he's in the hospital. An MRI showed this orange-sized growth in his frontal lobe. Yes. The size of an orange. It's that big, and it needs to go.
(Another bit of background) A year and a half ago, our dad had 1/4 of his lung removed due to cancer. After the removal andrecovery period he was deemed cancer free. However, the discovery of this growth in his brain and the size of it has led the doctors to believe that this is where the lung cancer originated. **UPDATE** I had received a bit of misinformation on that part. It is now believed that the tumor was a result of the lung cancer. (Not the other way around)
All this time it has gone undetected..
The doctors are going to operate on him today (9/15) to remove what they can of the mass. After that, we are told he will likely need a chemo and/or radiation treatment.
It will be a very long road to recovery.
As he is unable to work right now, and his long-time partner Arlene is looking after him, they will need as much help as they can get. Even a share, or a prayer would be greatly appreciated. All donations will go directly to him to help pay for bills (medical and otherwise) and help keep them afloat.
(More background) Our dad has been a staple to the Cavendish/Proctorsville community all his life. He's lived on the same road since he was born 61 years ago. You know him as Bob. He's a Pond specialist by trade, operating under Williams Lake Dredging. (A pond business started by his father, George Williams Sr.) Outside of that he's been a plow man, a country store owner, a mechanic, a snowmobile inspector, among so many other things, and most recently he's been a bus driver for Cavendish Elementary. Now this man could use your help. Any little bit can make a big difference.
Thank you for reading. We appreciate you!
Organizer and beneficiary
Prudence Williams
Organizer
Cavendish, VT
Robert Williams
Beneficiary