Chronic Eczema

  • R
  • Y
208 donors
0% complete

$14,155 raised of $11K

Chronic Eczema

Hi! We are Itzae's family!
Itzae is an adventurous and energetic kid with a passion for playing instruments. It's adorable and impressive how a toddler can love music so much--don’t believe me? Check out the pictures below. Those of us who've had the pleasure of meeting Itzae, quickly realize that his vibrant disposition can be hindered by a chronic and painful medical condition.
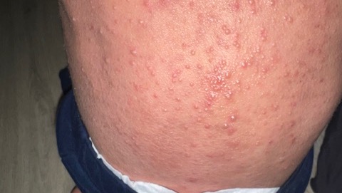
Atopic dermatitis, commonly known as Eczema, is an immunological disease where the immune system causes more inflammation than normal. Itzae has Chronic Eczema. A doctor once told his family to imagine every inch of your body covered by mosquito bites. Only, these “bites” don’t go away with time--they stay, get itchier, and bleed. Eczema torments Itzae. He has trouble sleeping and has severe anxiety. Simple things, like playing or taking showers can be excruciatingly painful. He has suffered more skin infections than we can count and it’s impossible to keep him from scratching until he bleeds. His parents have wrestled with hopelessness as they do all they can to help in this journey, along with his baby sister.

BUT WE HAVE GREAT NEWS! Itzae is about to turn 2 years old. For his birthday, we want YOU to be a part of changing his life. We will be gifting him a medical procedure that will help him as he faces the challenge of living with Chronic Eczema. He will be treated by an expert at Avene Hydrotherapy Center, a thermal spring water source in the south of France and will undergo hydrotherapy.
Heidy and Aponte are incredible parents. They have spent thousands of dollars going to doctors, dermatologists, hospitals and specialty clinics all over the United States, but no one has been able to identify and tackle the root cause. They have tried every possible ointment, medicine, diet, and remedy recommended by medical professionals, all to no avail.
The next step is to take the most aggressive approach possible. The Avene Hydrotherapy Center is known for success in healing eczema. Last year Dupixent, a biologic that works by targeting an underlying source of inflammation, was approved by the FDA for children ages 6 months to 5 years. After much research and thousands of dollars trying everything else, the only path left to try is a combination of Hydrotherapy, Dupixent and a functional nutritionist that we hope can start healing Itzae from the inside out.
On January 29th, we will be celebrating Itzae's birthday and we hope you can join us in both celebrating and improving his life. Your help and support will go a long way for this child and his family. It takes a village to raise a child, we are counting on you.











Organizer and beneficiary

Albizael Del Valle
Organizer
Los Angeles, CA
  • Medical
  • Donation protected

Your easy, powerful, and trusted home for help

  • Easy

    Donate quickly and easily

  • Powerful

    Send help right to the people and causes you care about

  • Trusted

    Your donation is protected by the GoFundMe Giving Guarantee