Chico - Hip Surgery

  • C
60 donors
0% complete

$3,437 raised of 5K

Chico - Hip Surgery

Donation protected
Chico was an unplanned addition to the Gilmore family. We found Chico abandoned in the desert almost a year ago and decided to keep him until we could find him a forever home. He quickly won our hearts over and made us realize that we were his forever home. He became a part of our family that we didn't know we needed. 

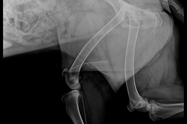
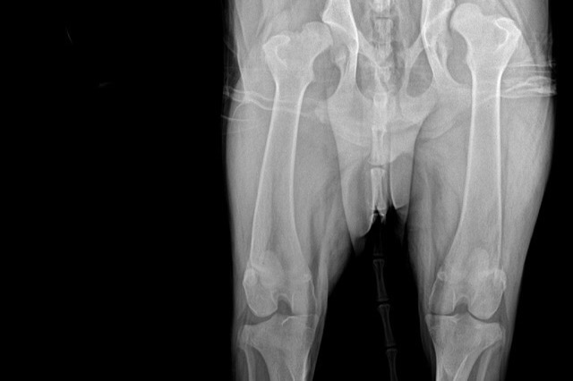
As all puppies do, Chico grew rapidly, and we realized that his hind legs weren't growing with the rest of his body and were extremely under-developed.  After a visit to the vet, we learned that he had a severe case of hip dysplasia. We quickly got him on supplements, medications, and an at-home physical therapy regimen to help with the pain but since he's still a growing pup, these remedies proved no results. 

Over the past few weeks, Chico's condition has worsened. He can't run or walk without bunny hopping his hind legs, and needs assistance laying down and getting up. Since our last vet visit with Chico, we learned that the only option for Chico at this point is surgery. He needs a femoral head ostectomy which is a surgical operation to remove the head and neck from the femur. It is performed to alleviate pain, and is a salvage procedure, reserved for condition where pain can not be alleviated in any other way. Chico will need two of these procedures, one for each hip, which will cost $2,500 each.  

Because Chico's condition worsens by the day, we need to raise money to help pay for his procedures as soon as possible. Chico means more to us than we ever thought he would and we just want to give him the best opportunity to live his absolute best life. He is a happy and playful pup that just wants to run around and play with his big brother Chief all day long.  We are so grateful for any contributions that will help us get Chico back to his happy and playful self!

Organizer and beneficiary

Dani Gilmore
Organizer
Rosamond, CA
  • Animals
  • Donation protected

Your easy, powerful, and trusted home for help

  • Easy

    Donate quickly and easily

  • Powerful

    Send help right to the people and causes you care about

  • Trusted

    Your donation is protected by the GoFundMe Giving Guarantee