Luciana hoy nos necesita.
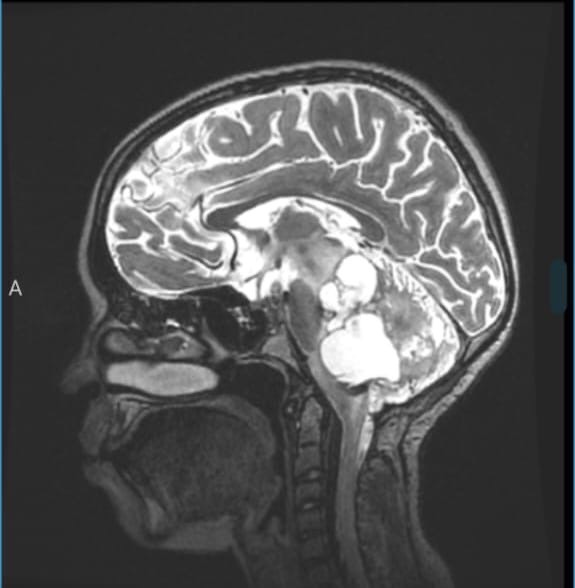
Luciana a los 11 años de edad fue diagnosticada con un tumor cerebral de gran tamaño llamado Astricitoma Pilocítico, posicionado en la base del tallo cerebral.
Fue intervenida quirúrgicamente por primera vez hace 3 años para colocar una válvula de derivación ventriculoperitoneal (VP), un mes después fue intervenida nuevamente para extirpar parte del tumor, y mediante un largo tratamiento de quimioterapia y radioterapia, se consiguió controlar el crecimiento de la masa ocupante.
3 años después, el tumor ha crecido nuevamente, y está ocasionando lesiones visibles en ella, por lo cual deben intervenirla quirúrgicamente para extirpar nuevamente el tumor.
Luciana actualmente tiene 15 años y sus padres se encuentran sin recursos para poder costear todo los gastos de una cirugía. Cualquier aporte nos servirá de bendición para poder salvar su vida, una vida que está llena de sueños y que apenas comienza.
Tenemos un mes para poder hacer un recaudo que nos permita una cirugía, y cuidados pre- y post-operativos para Luciana.
Luciana Hoy nos necesita
Luciana needs us today.
Luciana was diagnosed at 11 years old with a large brain tumor called Pilocytic Astrocytoma, located at the base of the brain stem.
She underwent surgery for the first time then to place a ventriculoperitoneal shunt valve (VP). One month later, she was operated on again to remove part of the tumor, and through long treatment with chemotherapy and radiotherapy, they managed to control the growth of the occupying mass.
3 years later, the tumor has grown again and is causing her visible damage. She must undergo surgery again to remove the tumor once more.
Luciana is currently 15 years old and her parents find themselves without resources to be able to cover all the expenses of surgery. Any contribution will serve as a blessing to be able to save her life, a life that is full of dreams and is just beginning. We have one month to be able to raise funds that will allow us surgery, pre and post-op care for Luciana.



