The last year of my life has been incredibly difficult, chronic and acute sickness, and financial ruin as a result of both.
I've decided that I need to return home to England.
Last year I was feeling so hopeful, so optimistic, and since coming out as trans and starting hormones, feeling like I was expressing myself and feeling my own emotions for the first time in my life. That optimism was dented multiple times by flare-ups of a mystery chronic disease that has left me in severe head pain, brain fog, and fatigue and weight loss. And this year, it flared up like never before. I have been in and out of ER, Urgent care, and various specialists (allergist, ENT, neurologist, chiropractor, PT) all who seem to just treat me like I'm making it up.
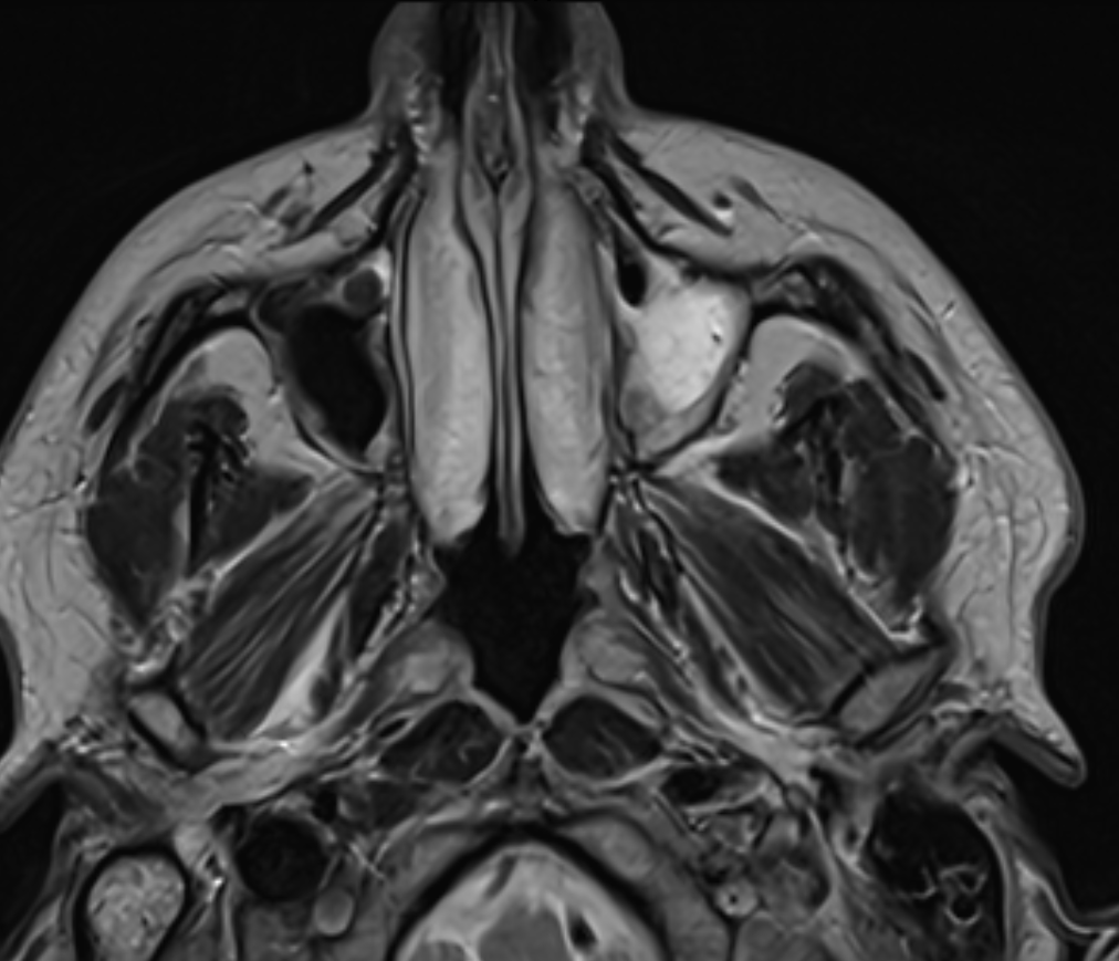
I have been experiencing constant tinnitus, head pain, inflammation & redness of my face for months now, relentlessly. Pain in my neck and spine, tingling, tremors, temperature deregulation, and muscle spasms on the left half of my body. I have had a million blood tests, multiple MRI's, and multiple CT scans, and they don't show anything conclusive despite the left side of my face being permanently red and yellow.
(The sinus cavity on the right here, my left, shows inflammation in bright white)
I need to be able to use the NHS and try to get better medical care than I am getting here. I am in financial ruin, unable to work, and spending ungodly sums of money on cabs to and from medical appointments and ER visits etc.
I have gone from being on top of my debt for the first time in years, to spiraling freefall into worse debt than ever and missing credit card payments for the first time in my 6 year credit history.
Lastly just with how the country is going, I am scared. I am scared as a trans person, scared as a poor person, scared as an immigrant, scared as someone who is suffering from an illness that has yet to be diagnosed. My food and shelter are not secure, I am not medically secure, and more than anything, I miss my friends and family back home.
So.... to the point. I desperately need help. I am not in a position to be packing up my life by myself. I need to figure out how to get through the next few months, liquidate most of my possessions, move myself, my cats, and a lot of my stuff back to the UK. This is all very overwhelming to me, and to be honest I am terrified.
I need help in more ways than one. Firstly, financially.
As of January 2nd I have started selling off my woodworking equipment and as much musical equipment as I can, I hope to be able to start selling furniture and smaller objects soon... but I need to get my credit cards back into good standing ASAP if I hope to pay a moving company in time. I have been quoted anywhere from 3500-7000 USD for getting my stuff back to the UK, and I will need two plane tickets for me and the cats, and no doubt a lot of additional fees for their paperwork and customs forms.
I already sold $2800 of workshop machines and that just went directly into paying credit cards.
Any money raised will go directly to paying off debt and paying for moving costs for me and my cats.
Secondly, I need practical help, I cannot begin to start the organizational and physical process of selling/donating/packing all this stuff by myself with no car. So if anyone local is able to come over and help me with the process it would be immeasurably appreciated. Help with organizing, listing stuff, running errands, figuring out what exactly I need to get done. I will need help getting me and the cats to the airport some time in March if all goes to plan.
Thankyou for reading this, I am deeply sorry that I have to ask, and I will miss a lot of you so, so much. But for my health and survival I need to get out of here asap.
Love,
Cat.





