Caleb Yogi

  • R
  • O
  • O
24 donors
0% complete

$3,290 raised of $5K

Caleb Yogi

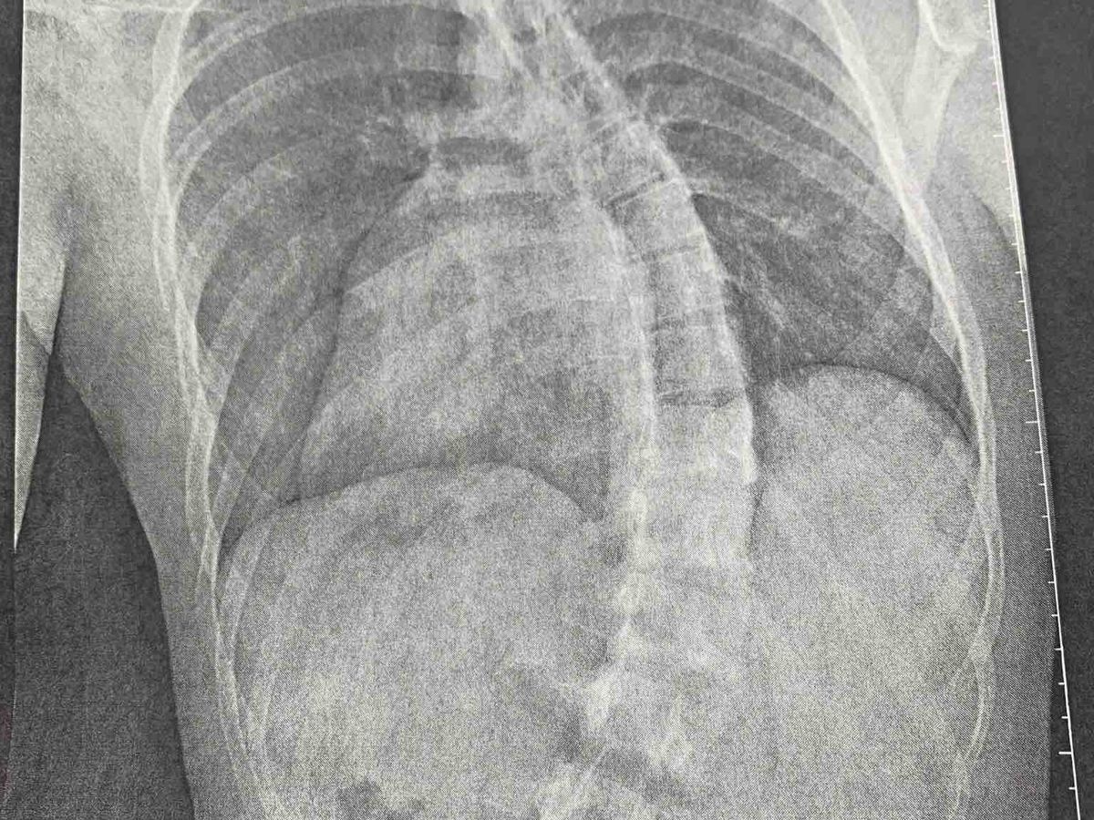
Update 1/9/20: This is what scoliosis looks like on an 18yr old body. The picture does nothing to describe the pain Caleb experiences 24/7 but you’d never know it by visiting with him or watching him go about his job at American Eagle. His love of God, Church and Family is so evident in his life. I’d like to take this time to thank those who have donated on GoFundMe and those who have helped in other ways; such as Caleb’s Uncle & Aunt who paid for the hotel rooms, his Aunt & Uncle who have donated money towards the MRI using their HSA account. Not everyone is comfortable donating thru GoFundMe and I thoroughly understand that. We appreciate any and every thing you do to help. Keep those prayers coming. Love y’all! Our 18 year old grandson Caleb Yogi, will be undergoing surgery to correct severe scoliosis. Caleb was diagnosed in 2014 with a 37° “C” curve and had to wear a scoliosis brace 20 hours a day for 4 years in hopes of preventing the curve from worsening. Over the years of wearing the brace, the curve gradually got worse and he is in constant pain due to the curvature of his spine. He was seen by his specialist and informed the curve is progressively getting worse and surgery is inevitable. The surgery is scheduled February 3, 2020 at Texas Children’s in Houston. This account is created to cover cost of deductible, meals, travel and any unforeseen expenses. We greatly appreciate any donations! Please put Caleb and family in your prayers as this will be a lengthy process, rehab and recovery.

Organizer

Diana Wise
Organizer
Utopia, TX
  • Medical
  • Donation protected

Your easy, powerful, and trusted home for help

  • Easy

    Donate quickly and easily

  • Powerful

    Send help right to the people and causes you care about

  • Trusted

    Your donation is protected by the GoFundMe Giving Guarantee