- L
- P
- T
On Wednesday evening, April 3rd, our dear friend Brandon who is an avid hiker, ice climber, and nature enthusiast became yet another innocent victim of a drunk driver while on his way home from the grocery store.
He was hit head on by a large pickup truck, traveling at a high rate of speed, in the wrong lane, coming around a blind turn. Brandon had to be pulled from his jeep, tiny in comparison to the truck, by the jaws of life. Thanks to the speedy response of a couple good samaritans, local paramedics, emergency rescue personnel, and shear luck he survived but not without extensive life effecting injuries.
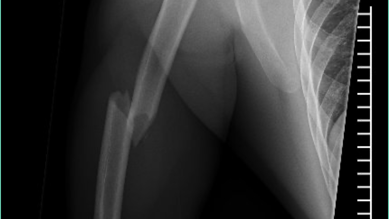
Once at the hospital, it was determined that he broke both of his arms and legs in multiple places, shattered his knee cap, broke his ribs, broke and dislocated his hip, and broke his femur. The only thing not broken is his spirit, pretty face, and desire to face this battle head on. Despite only being able to wiggle his fingers and toes, he still keeps us and the wonderful hospital staff laughing and is a true inspiration.
Brandon has been hospitalized since the accident and following multiple surgeries and some gnarly titanium all throughout his body, he is preparing to go to a rehabilitation center/nursing home to continue healing with months of physical therapy as he is not anywhere near being self-sufficient.
Although he had health insurance at the time, what it covers in the way of rehabilitation centers is bleak - to say the least. Our goal is to be able to get Brandon into a facility that is slightly better than sub-par, with quality care, in order to get him well as soon as possible.
Any contribution you would like to make will be extremely appreciated by Brandon and his entire support team of friends and family.
We need to get Brandon back on top of the world where he belongs!

