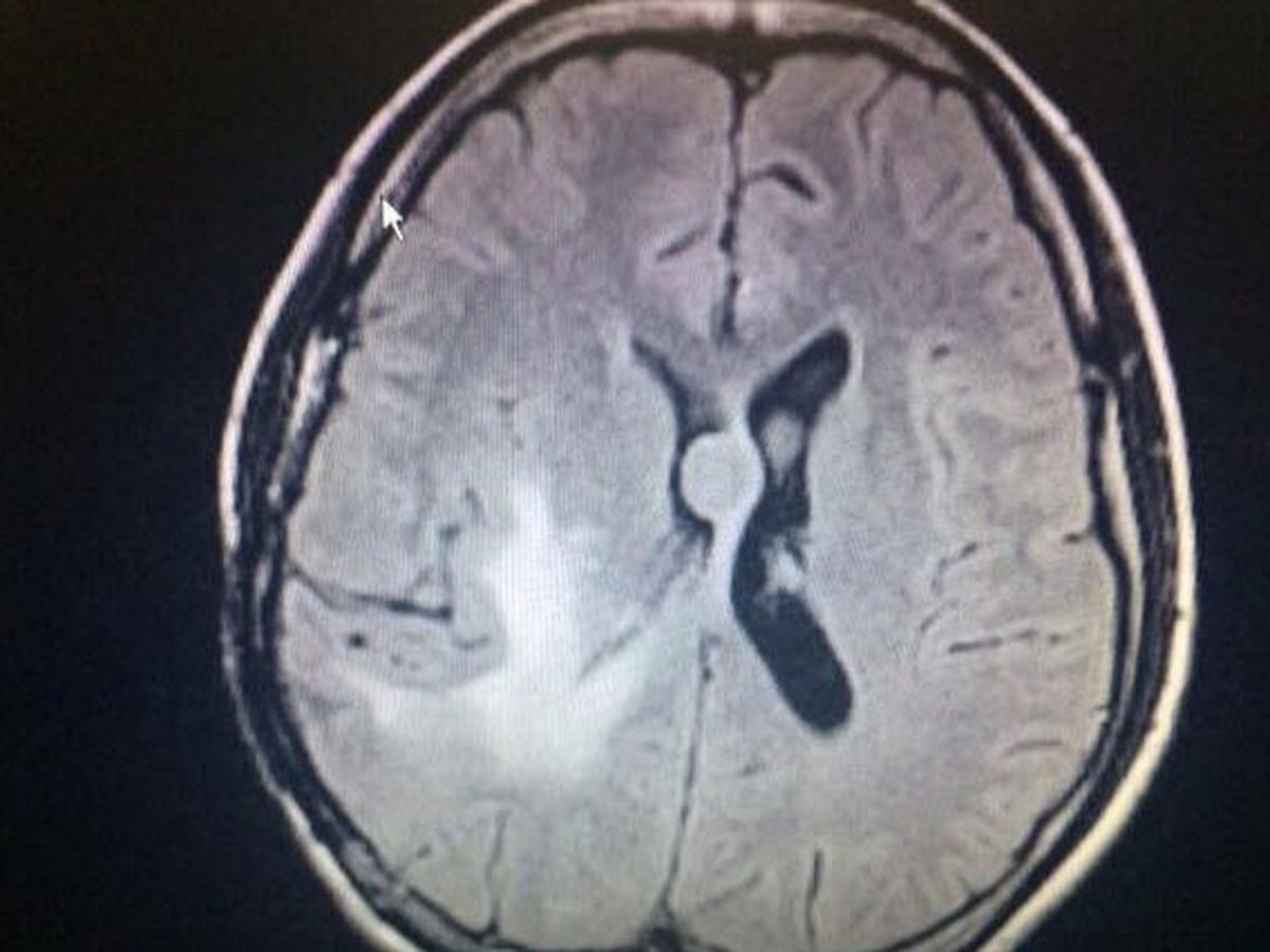
My name is LeeAnna (Lea) Ciastko. I had a craniotomy December 27th, 2017 to remove a brain tumor. Unfortunately, 2 new brain tumors grew back. My MRI on September 27th, 2018 showed a new tumor (close to the original), a second new tumor (in the middle of my brain), some tumor cells in the lining of my brain, and finally tumor cells at the end of my spine (due to the movement of spinal fluid through my brain). Thankfully, I had a successful craniotomy on October 2nd, 2018 in order to remove the operable tumor (the one close to the original spot). I have yet to meet with my radiation oncologist and my primary oncologists to discuss my new form of radiation therapy and chemotherapy. I am hoping to do that within the next 6 weeks, my surgery recovery period.
My primary oncologists told me the original goal of my cancer treatments was to cure my cancer, but now since it has progressed, the new goal of my new cancer treatments is to keep my cancer at bay, so I can live longer. When asked about an amount of time, one of my primary oncologists said, given his experience with this form of tumor, to measure my time in “years,” would be more on the optimistic side.
Well, I’m a total optimist and I plan on doing everything within my power to help myself both physically, and mentally! After my first craniotomy, I did a solo standup show at a Second City Training Center Theater that I called, “It’s My Cancer and I’ll Laugh If I Want To.” This time around, I want to put on a different solo standup show called, “When Life Gives You Cancer, Make Comedy!” I truly believe I am lucky and I want to spend my time doing what I love the most, which is making people happy. This GoFundMe is to help me with my cost of living, while I'm not able to work. Any donation, read, or share is greatly appreciated; thank you for your time!
My primary oncologists told me the original goal of my cancer treatments was to cure my cancer, but now since it has progressed, the new goal of my new cancer treatments is to keep my cancer at bay, so I can live longer. When asked about an amount of time, one of my primary oncologists said, given his experience with this form of tumor, to measure my time in “years,” would be more on the optimistic side. Well, I’m a total optimist and I plan on doing everything within my power to help myself both physically, and mentally! After my first craniotomy, I did a solo standup show at a Second City Training Center Theater that I called, “It’s My Cancer and I’ll Laugh If I Want To.” This time around, I want to put on a different solo standup show called, “When Life Gives You Cancer, Make Comedy!” I truly believe I am lucky and I want to spend my time doing what I love the most, which is making people happy. This GoFundMe is to help me with my cost of living, while I'm not able to work. Any donation, read, or share is greatly appreciated; thank you for your time!

