Beanie and I first met underneath a friend’s porch. He was a stray kitten and looked very scared and sick. I scooped him up and took him to the vet where I found out he was FIV+. Feline Immunodeficiency Virus. Just like with HIV in humans, Beanie’s immune system is subpar. As a result, one of the health issues Beanie struggles with is stomatitis.
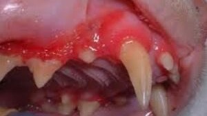
Stomatitis is an incredibly painful and debilitating dental disease that can affect cats. Beanie frequently bleeds from his mouth. His gums are bloody and inflamed always. He drools and can’t groom himself very well, leaving his coat dull and rough. He struggles with eating and drinking and has dropped to under 5 pounds. He is anemic and dehydrated.
We have done everything we can afford to do up until this point, but Beanie’s health is reaching a critical moment. According to the vet, the best course of action is to remove all of his teeth but we were told the procedure would cost around 4,000 dollars. As two disabled pet parents, we can not afford a cost like that.
I have been happy to share my life with many pets over the years. But I have never felt as connected to a pet as I feel about Beanie. Please help me save my Beanie baby. He is just over 2 years old and should be able to eat and drink without pain.
Organizer and beneficiary
Morgan McClain
Beneficiary






