- R
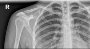
Hey there. I am Bailey Heaton's mom. A week ago, Bailey was headed home on their bike after taking care of some things at their old apartment when they were involved in a hit-and-run by a man on an e-scooter going the wrong way on a one-way bike path. The man t-boned Bailey, never stopping, causing them to fly off their bike. In the fall, Bailey's collarbone broke. We are fortunate that there weren't any worse injuries. Because of that, Bailey was released with a "mildly displaced clavicular fracture." However, in the last week, the fracture has shifted, becoming unstable, and now it requires surgery to repair it.
This is debilitating and devastating for Bailey, who was looking for work and now is unable to do so because they have no way to get around with a broken collarbone. Bailey does not drive a car; the bicycle has been their primary means of transportation. That was also damaged in the hit-and-run by the dude on the e-scooter. I do not yet know how bad the damage was to that as I haven't yet seen it.
Here is where we are: Bailey JUST moved into a new home at the beginning of the month. They were looking for work. NOW, my child is broken and requires surgery. Their bike is broken and requires repair. I hate asking for help, but Bailey has no means for rent, transportation, and work... all because of an idiot riding the wrong direction on a one-way bike path who hit my child and did not stop.
We are asking for any help you can give to get Bailey through this.



