- A
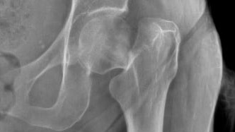
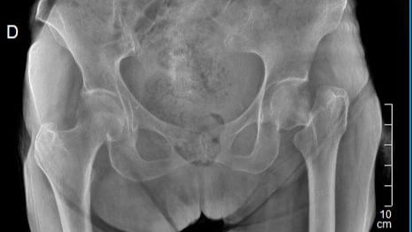
Hola, soy La Picua (Victoria) y a mis 83 años tuve una caida y me diagnosticaron fractura Transcervical del femur izquierdo y requiero de una operación e instalación de protesis para poder volver a caminar. Agradeceré enormemente su ayuda y colaboración.
Organizer and beneficiary
Valentina Alvarez
Beneficiary

