Ayúdanos a que Jean Manuel vuelva a ponerse de pie!

  • R
  • A
  • M
29 donors
0% complete

$2,170 raised of $8K

Ayúdanos a que Jean Manuel vuelva a ponerse de pie!

Donation protected
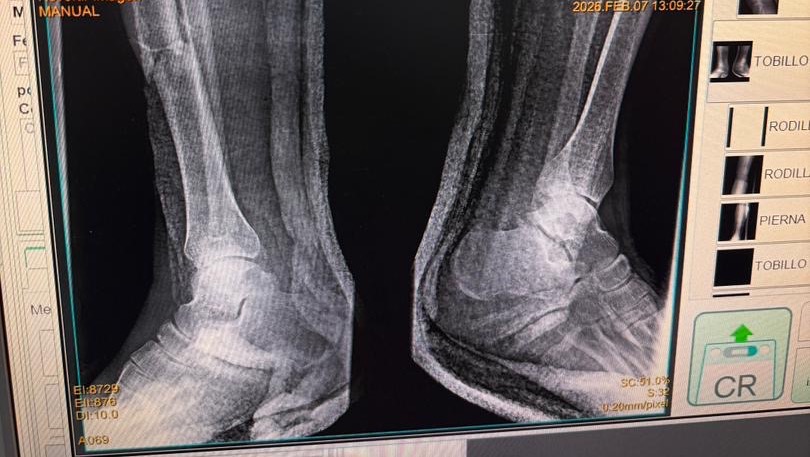
A sus 27 años, Jean Manuel Colella estaba cumpliendo una de sus metas más grandes: realizar sus prácticas universitarias en Barquisimeto, Venezuela. Sin embargo, la madrugada del 07 de febrero, su vida cambió en un segundo. Fue víctima de un terrible accidente automovilístico donde, lamentablemente, los responsables se dieron a la fuga, dejándolo atrás con heridas graves. Hoy, Jean Manuel enfrenta el reto más difícil de su vida. El accidente le causó múltiples fracturas en ambas piernas, siendo su pie derecho el más afectado. Para que él pueda volver a caminar, trabajar y terminar su carrera, necesita una cirugía de reconstrucción urgente. Cada granito de arena cuenta. Tu donación, por pequeña que parezca, es un paso más cerca de devolverle la movilidad a un joven que tiene todo un futuro por delante. ¡Ayúdanos a que Jean Manuel vuelva a ponerse de pie!

At the age of 27, Jean Manuel Colella was achieving one of his biggest goals: completing his university internship in Barquisimeto, Venezuela. However, in the early hours of February 7th, his life changed in an instant. He was the victim of a horrific car accident where, heartlessly, those responsible fled the scene, leaving him behind with severe injuries. Today, Jean Manuel faces the toughest challenge of his life. The accident caused multiple fractures in both legs, with his right foot being the most severely affected. In order for him to walk again, work, and finish his degree, he needs urgent reconstructive surgery. Every little bit helps. Your donation, no matter how small it may seem, is one step closer to restoring mobility to a young man with his whole future ahead of him. Help us get Jean Manuel back on his feet!






Organizer and beneficiary

Fiorella Channan
Organizer
Hollywood, FL
Gasan Channan
Beneficiary
  • Medical
  • Donation protected

Your easy, powerful, and trusted home for help

  • Easy

    Donate quickly and easily

  • Powerful

    Send help right to the people and causes you care about

  • Trusted

    Your donation is protected by the GoFundMe Giving Guarantee