- P
- L
Hola mi nombre es Fabiola Sanchez:
Me dirijo a ustedes con humildad y esperanza para compartir una situación de salud que estoy enfrentando y pedir su apoyo en este momento de mi vida.
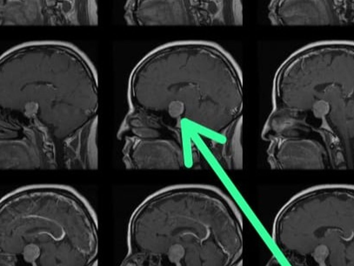
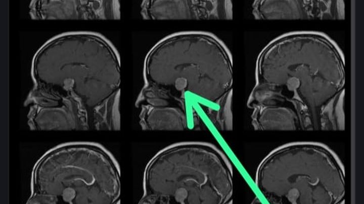
Recientemente, me diagnosticaron un tumor cerebral (macroadenoma en la hipófisis), se ha determinado que necesito una operación urgente para tratar esta condición. Esta noticia ha sido un desafío enorme para mí y mi familia, pero estamos determinados a enfrentarla con valentía y optimismo.
Lamentablemente, los costos asociados con la operación son muy elevados ($230,000 mil pesos) y están fuera de nuestro alcance económico. Es por eso que me veo en la necesidad de recurrir a ustedes, mis seres queridos y mi comunidad, para solicitar ayuda económica. Cualquier contribución, por pequeña que sea, marcará una gran diferencia y me acercará un paso más hacia la recuperación.

