- G
- A
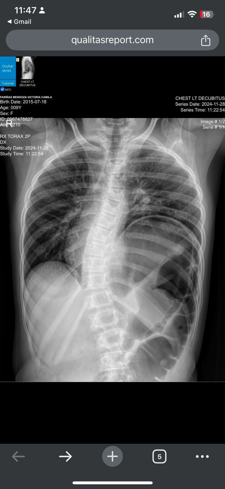
Mi hija Victoria Camila necesita urgentemente una operación (PLICATURA DIAFRAGMATICA) para mejorar su calidad de vida. Debido a su condición médica, requiere una intervención quirúrgica especializada que no está cubierta por nuestro seguro médico.
Necesitamos tu ayuda para recaudar fondos para cubrir los costos de la operación y los cuidados posteriores. Cada donación cuenta y nos acerca un paso más a darle a Victoria Camila la oportunidad de vivir una vida más saludable y feliz.
Si puedes contribuir con cualquier cantidad, por favor, no dudes en hacerlo. Tu apoyo significará un mundo de diferencia para Victoria Camila y nuestra familia.
¡Gracias por considerar esta solicitud! Juntos, podemos hacer una diferencia en la vida de Victoria Camila."
Organizer and beneficiary
Alfredo Jose Parra Mendoza
Beneficiary





