Desliza las imágenes para más información.
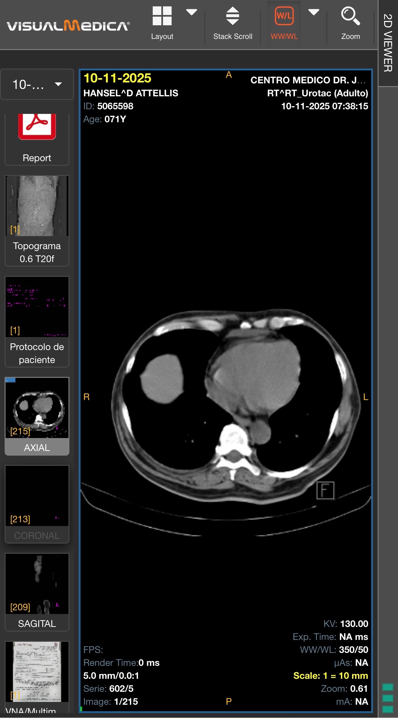
Hansel D’Attellis (72 años) quien vive en Maracaibo estado Zulia, Venezuela está enfrentando una situación médica crítica. En los últimos días ha presentado dolor abdominal fuerte, una fuerte infección urinaria, una masa en el abdomen, pérdida de peso y problemas para evacuar.
Tras varios estudios, los médicos encontraron:
• Un quiste renal gigante en el riñón izquierdo (Bosniak II)
• Quistes múltiples en ambos riñones
• Riñón en herradura (malformación congénita)
• Hidronefrosis bilateral
• Atrofia del riñón derecho
El urólogo indicó que Hansel necesita una cirugía urgente (quistectomía renal izquierda), ya que el quiste ha crecido y está comprometiendo su salud de manera peligrosa.
Lamentablemente, los costos de la operación y el tratamiento superan lo que la familia puede cubrir. Por eso pedimos tu apoyo: cualquier aporte, por pequeño que sea, nos acerca a darle a Hansel la oportunidad de recibir esta cirugía a tiempo.
Si no puedes donar, por favor comparte esta campaña. Tu ayuda puede salvar una vida.
Gracias por tu solidaridad y por acompañarnos en este momento tan difícil.






