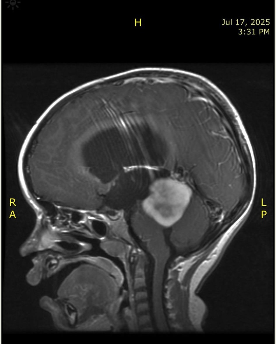
Hola, soy Oliver, tengo 3 años y en julio de este año mi vida cambió mucho. Todo comenzó con unos dolores de cabeza muy fuertes. Mis papás me llevaron al hospital y ahí descubrieron que tenía un tumor en el centro de mi cerebro, astrocitoma pilocítico (un tumor de lento crecimiento y de bajo grado) una masa de 3 x 3.1 x 3.5 cm. Ese mismo día tuvieron que trasladarme de emergencia en helicóptero a un hospital más grande y especializado, porque el tumor había causado que se acumulara mucho líquido en mi cabeza. Ahí entré a mi primera cirugía de urgencia.
Después, tuve una segunda cirugía para colocarme un puerto de quimioterapia. Es un pequeño dispositivo que tengo en el pecho y que se conecta a una vena grande para que los doctores puedan darme mi tratamiento, medicinas y también sacar sangre y líquidos sin tener que pincharme tantas veces.
Mi tumor no se puede operar y en mi última resonancia el tumor aumento de tamaño a 3.6 x 3.6 x 3.5 cm, pero aunque no se puede operar, sí se puede tratar con medicamentos y quimioterapia. Este camino es largo, y mis papás necesitan pedir muchos días en el trabajo para estar conmigo. Eso significa menos ingresos en casa y más gastos, como traslados, hospital, medicinas y cuidados.
Por eso hoy les quiero pedir ayuda. Cada aportación, por pequeña que sea, será un gran apoyo para mi familia y me ayudará a seguir luchando con una sonrisa.
Gracias por sus oraciones, por compartir mi historia y por estar conmigo en esta batalla
---------
Hi, my name is Oliver. I’m 3 years old, and in July of this year my life changed a lot.
It all started with very strong headaches. My parents took me to the hospital, and that’s when they discovered I had a tumor in the center of my brain: a Pilocytic astrocytoma (a slow-growing, low-grade tumor), measuring 3 x 3.1 x 3.5 cm. That same day, I had to be airlifted by helicopter to a larger, specialized hospital because the tumor had caused a dangerous buildup of fluid in my head. There, I had my first emergency surgery.
Later, I had a second surgery to place a chemotherapy port. This is a small device in my chest that connects to a large vein, so the doctors can give me my treatments, medicines, and also draw blood and fluids without having to poke me so many times.
My tumor cannot be surgically removed, and in my most recent MRI it had grown to 3.6 x 3.6 x 3.5 cm. Even though it can’t be taken out, it can be treated with medication and chemotherapy. This will be a long journey, and my parents need to take many days off work to be by my side. That means less income at home and more expenses for transportation, hospital visits, medicines, and daily care.
That’s why today I’m asking for your help. Every contribution, no matter how small, will be a huge support for my family and will help me keep fighting with a smile.
Thank you for your prayers, for sharing my story, and for standing with me in this battle.
Organizer and beneficiary
Octavio Alejandro Navarro Guerrero
Beneficiary






