- D
- M
- G
Hi Friends,
Two months ago we brought in an 8.5 year-old female chocolate English Cocker Spaniel named Coco. She was born and raised in a hunting lodge and spent her life in an outdoor kennel...
Here's the short version: Coco is a spunky lady, but has a herniated disc in her neck and is barely able to walk. She is also riddled with shotgun BB's from being shot during a hunt, which has made the diagnosis and treatment more difficult. Please read on if you'd like the full story, or donate if that is enough info for you! Thank you!!
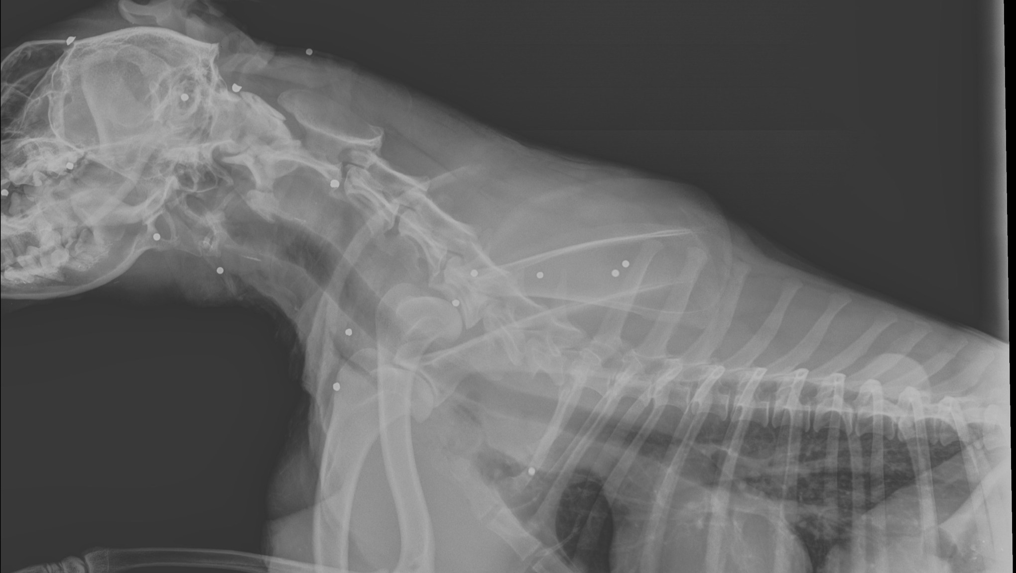
Unfortunately, Coco was shot during a hunt in December 2023. While she did recover, she remains riddled with shotgun BB’s from nose to tail. The photo below is just a snapshot of what is in her.
Then, in early November of 2024, Coco was taken out to hunt, but only took a few steps before falling over, unable to get back up. It was apparent that she had suffered some type of episode or injury that had severely impaired her mobility.
Thinking it was a sprain, she was left to rest for a couple of weeks. However, when she was taken out again, she exhibited the same complete lameness on her left side, similar to a stroke.
The lodge reached out to us and said that due to her condition, she would most likely need to be euthanized, but wanted to see if we were willing to take her nonetheless.
We went to get her right away so we could evaluate her condition and determine the next steps to keep Coco from suffering.
When we got her, she was being tapered off of Prednisone–a steroid used to decrease inflammation but is only meant for short term use. At that time, her dose had been reduced to one pill every other day.
During those first couple of weeks when she was being tapered off of Prednisone, we saw two very different versions of Coco: a more lively and comfortable one, and an almost completely lame and struggling one. We soon realized that her bad days aligned with the days that she did not receive Prednisone.
She is still significantly impaired while on the steroid, but it is far worse and close to debilitating once she is off of it, which is why this is so urgent.
While this is not a full list, Coco’s symptoms without Prednisone include:
- Struggling to stay standing while going potty, eating, and drinking
- Toenails on her left side bleeding due to dragging … She does wear grippy socks to protect her nails and let them grow back, but it didn’t take her long to figure out how to undo the velcro and remove them. Smart little gal.
- Falling over and unable to get up without a lot of encouragement or some incentive (food, or fear of being left behind)
- A right-leaning walk, using walls and furniture to support herself
We were able to get Coco an appointment with a Veterinary Neurologist, and were VERY relieved to learn that Coco’s situation was not as hopeless as we had feared it was!
Things we learned from the Neurology appointment and Prednisone “test”:
- Coco cannot undergo an MRI due to the BB’s in her body.
- We decided to do another round of Prednisone before doing a CT scan to see if there was clear improvement while on the medication. How she responded would help us narrow down what could be going on.
- The Prednisone “test” worked! We saw significant improvement in Coco’s mobility and quality of life. These results helped us conclude that Coco is mostly likely suffering from a herniated disc in her neck.
Coco needs to have a CT scan done under anesthesia, and once the CT scan confirms the location of the herniated disc, she will immediately undergo a laminectomy (a procedure that removes parts of a vertebra from a specific level in the spine to alleviate pressure on the nerves).
This girl is smart, funny, and above all, resilient! Her current condition is confusing and frustrating for her, but she still has an incredible will to live, so we are committed to doing everything we can to get her ‘wheels’ working again, as this surgery has an excellent prognosis! She desperately needs this surgery to have the quality of life and mobility that she is so deserving of.
We hope to raise $9,500 which will allow us to cover imaging, surgery, post-surgical care, as well as rehabilitation costs for Coco.
We sincerely appreciate every single contribution, no matter the amount. If you are unable to donate, please consider sharing Coco’s story! We are grateful to all of you for helping us help Coco!

