
Arloe's Cystotomy Surgery
Arloe is a rescue dog that my daughter adopted in 2016. In the last few weeks, she has been having trouble urinating, and I assumed it was a urinary tract infection. I took her to the veterinarian today and found out we are not so lucky. Arloe, who is just over 10 lbs, has a huge bladder stone.
It will not pass on its own, and it is very unlikely that it will dissolve with a special diet. They are recommending surgery sooner, rather than later. Their preference is within a week.
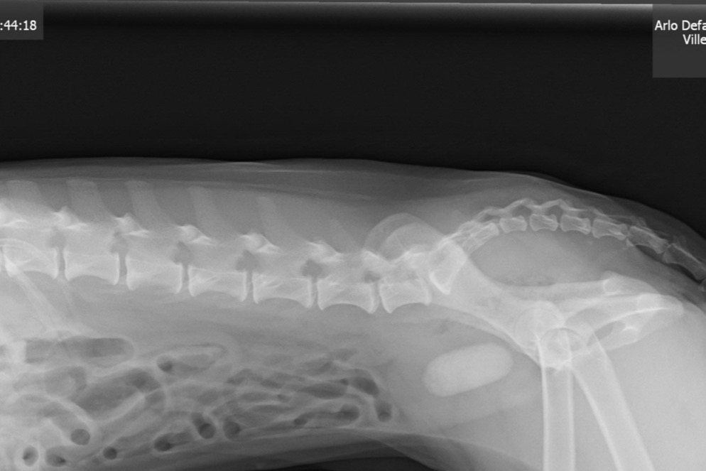
You can see the bladder stone clearly in the X-ray, and I have included the estimate as well. Both done this afternoon.
I have set the goal at the upper end of the surgical range. Any amount donated above what is actually needed will be donated to another pet GoFundMe that has not been completed.
I appreciate any help in this matter. If we raise enough for the surgery, I will post an itemized receipt, and proof of any excess being donated.





It will not pass on its own, and it is very unlikely that it will dissolve with a special diet. They are recommending surgery sooner, rather than later. Their preference is within a week.
You can see the bladder stone clearly in the X-ray, and I have included the estimate as well. Both done this afternoon.
I have set the goal at the upper end of the surgical range. Any amount donated above what is actually needed will be donated to another pet GoFundMe that has not been completed.
I appreciate any help in this matter. If we raise enough for the surgery, I will post an itemized receipt, and proof of any excess being donated.





Organizer
Tanya Villers
Organizer
Eagle River, AK