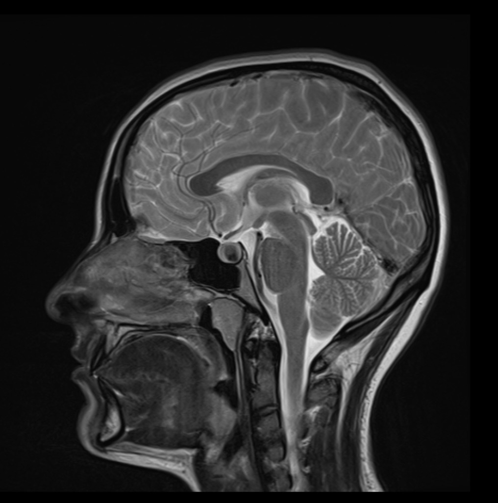
Hola, mi nombre es Geraldine y estoy recaudando fondos para poder realizarme una cirugía para extraer un tumor en la hipófisis, conocido como macroadenoma hipofisiario con apoplejía.
Hace unas semanas comencé con dolores de cabeza intensos, náuseas y vómitos. Tras varios estudios, me diagnosticaron un tumor de 13 mm que ya está afectando mi visión y que requiere una cirugía endoscópica urgente. Sin esta intervención, mi salud podría deteriorarse seriamente.
Esta causa es muy importante para mí porque la cirugía representa la oportunidad de recuperar mi bienestar y prevenir complicaciones mayores. Todo lo que se recaude será destinado directamente a cubrir los gastos médicos y hospitalarios.
Si puedes apoyar esta causa, ya sea con una donación o compartiéndola, estaré profundamente agradecida. Cualquier ayuda, por pequeña que parezca, marca una gran diferencia.
Gracias por tu tiempo, tu empatía y tu apoyo. ❤️
Organizer and beneficiary
Geraldine Balderrama Terrazas
Beneficiary




