
Aid Jessica Trueblood's Healing Journey
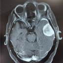
 Im Jessica Trueblood.... Who is on fire for God, and spreading the salvation and Glory, with healing to the world. I personally got Brain cancer hit me.. I financially need help through driving to Drs and meds. I'm only recieving  6 Punch's from soonercare.any amount of money sure will help.