- A
- D
- H
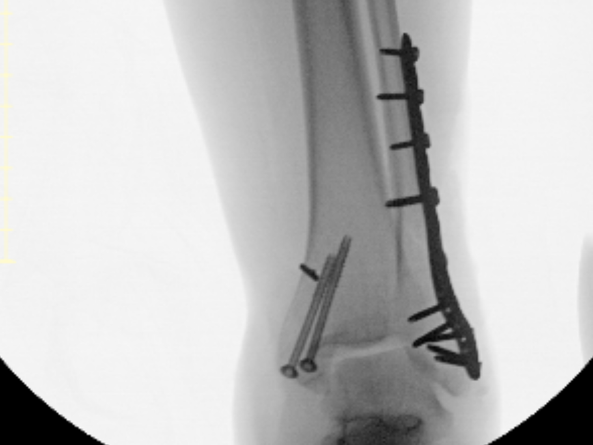
As most of you know, I have worked as a nurse for the last nearly 7 years. I love my work as a nurse, and when I got injured at the end of January, I was devastated that my travel nursing agency had to cancel my contract. I injured my ankle on 1/24/25 when I had a nasty fall. I broke my ankle in 3 places and separated the joint. I am currently unable to work as a nurse and am finding out firsthand how hard it is to navigate life when you can't work in your chosen field. I had surgery about 2 weeks ago, and I am looking at 12 weeks of recovery time for my injury. I am seeking work from home employment and attempting to get benefits for those who are unemployed in the mean time.

