- R
- A
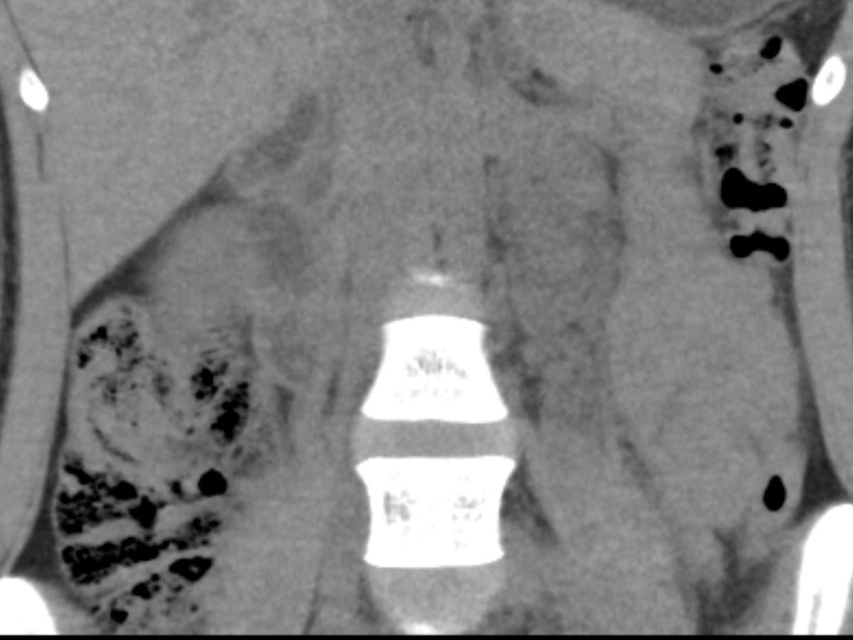
Aloha to all my friends & family. This has been something I have been trying to avoid for a long time; as most people know, I’m not one to ask for help unless there’s no other option. I have been diagnosed with a neurogenic tumor the size of a grapefruit, in my abdomen that has been taking a detrimental toll on my body and health. My tumor was discovered on Memorial Day weekend after multiple trips to the emergency room. Since then, I have gone through multiple rounds of testing and biopsies to diagnose the issue. We are still on the path of diagnosis as there are many different types of neurogenic tumors, but I have faith that we will find all the answers. I will be getting exploratory surgery on December 6th followed by chemotherapy and multiple de-bulking surgeries in the near future. My surgeon and procedures are all in San Francisco, which has required my parents & partner to miss out on work to help me with travel. I am hoping to help relieve the financial strain on us all through this time. I was raised by the strongest family imaginable, I know all will be well in due time. I also want to thank all my aunties, uncles, and cousins that have been so supportive since the beginning. Truly so blessed to be surrounded by so much love and I am so grateful for it all!

