Hi, my name is Kristin, and I’m going through one of the hardest seasons of my life. In short, I need back surgery.
I’ve been diagnosed with Double Curve (S-shaped) scoliosis (thoracic, and lumbar), spondylolisthesis (my L5 has slipped forward on the S1), nonunion bilateral pars defect, radiculopathy (nerve compression), among other issues relating to nerve compression (see below MRI results). I'm experiencing loss of muscle control in both legs, numbness, tingling, prickling, burning, spasms, weakness, spine instability, and 'foot drop' in my left foot. These severely painful spinal conditions have left me mostly bedridden since the end of July. The pain is relentless, and it's nearly impossible to walk without instability. I can only move short distances with difficulty, and daily tasks have become overwhelming. I’ve been unable to work, cook my own meals and care for my own basic needs.
I wouldn’t ask if I didn’t truly need help-but I do. This has proven to be very humbling. I’m holding onto hope, believing in God’s promises, and trusting that healing is coming, even in the midst of this storm. One scripture that’s been carrying me is:
“But those who wait on the Lord shall renew their strength; they shall mount up with wings like eagles, they shall run and not be weary, they shall walk and not faint.”
— Isaiah 40:31
Right now, I’m in urgent need of your support to cover critical medical care, including:
Health Insurance costs
Medications
Basic Living expenses as I have no source of income
Medical transportation to therapy
I’ve never felt this physically weak or this emotionally raw. It’s hard to ask. It’s hard to admit that I can’t do this alone. But I believe in miracles, and I believe that God moves through us with compassion, love, and generosity. I'm not one to ask for help. I am usually the cheerful giver. I was blessed with a walker and shower chair which are helping tremendously. Neighbors have come to check on me, and God has sent helpers to pick up prescriptions, help with chores, etc.
Unfortunately, I lost my independence, my career, my health insurance, my place, most all of my belongings and I am awaiting social security disability (11/1/2025).
If you feel led to give, to pray, or to share this, I will carry your kindness in my heart and be forever grateful. Every act of support is a lifeline - not just financially, but spiritually and emotionally.
Thank you for seeing me, for standing with me, and for believing with me - that healing will come even if that means surgery. I’ll walk again in strength and peace, in Jesus' name.
Thank you for reading this and for sowing into my miracle.
With all my heart,
Kristin Rene'
Latest Update: 4/18/2026 (see bottom of page).
12/8/2025-Changed from an Orthopedic surgeon referral (12/15/25 appt cancelled) to a Neurosurgeon referral. New Neurosurgery consult 2/2/2026. 131 days bedridden, July 30, 2025 - current-symptoms remain debilitating from the lower back and waist down to toes, bilaterally. Unable to sit, stand or walk for more than around 15-30 minutes. I am in bed 23+/24 hours per day. Pain, weakness and tremors. Left leg has more muscle weakness than the right.
November 24th: 117 days bedridden, July 30, 2025 - current-symptoms remain debilitating from the lower back and waist down to toes, bilaterally. Unable to sit, stand or walk for more than around 15-30 minutes. I am in bed 23+/24 hours per day. Pain, weakness and tremors.
November 3rd: submitted application for disability
Total Nerve Compression Sites
There are five areas where nerve impingement is seen:
Right T12–L1 (1 side)
Left L3–L4 (1 side)
Right L4–L5 (1 side)
Left L4–L5 (1 side)
Right L5–S1 (1 side, more severe)
Left L5–S1 (1 side, moderate)
➡️ That’s 6 total areas (bilateral at two levels + one right + one left).
10/31/2025: My employment was officially terminated as was my health insurance.
10/26/25-pain management appointment-pain management Dr. referred me for surgery after reviewing my MRI. I was referred to an orthopedic surgeon for 12/15 consultation.
10/15/25: The injections did not provide relief as I had hoped. The condition remains the same after two weeks of worsened symptoms.
9/22/2025: Day 54
Shot Day-Lumbar Transforaminal Epidural Steroid Injections/Laterality & Level: bilateral L5. Here's my doctor's notes: Procedure in Detail: Kristin was brought into the fluoroscopy suite and Kristin was helped into a prone position on the OR table. A timeout was conducted to verify the patient’s full name and date of birth, the patient’s full allergy list, the full name of the procedure, the sidedness of the procedure, and the level of the procedure. The site marking was verified. A large area including and surrounding the injection site was cleansed with Chlora Prep (2% w/v chlorhexidine gluconate and 70% v/v isopropyl alcohol). The skin was scrubbed for 1 minute and then allowed to dry for 3 minutes. Sterile towels were used to outline a field including only a small portion of the entire cleansed area.
The C-arm was brought into place and a scout AP view was used to identify initial fluoroscopic landmarks.
After identifying the right L5 neuroforamen, the C-arm was rotated to a right lateral oblique angle. Lidocaine 1% was used to anesthetize the skin at a skin entry site coaxial with the fluoroscopy beam, and overriding the superior aspect of the neuroforamen. A 5 inch 22 gauge spinal needle was advanced under intermittent fluoroscopy until it entered the foramen superiorly.
After identifying the left L5 neuroforamen, the C-arm was rotated to a left lateral oblique angle. Lidocaine 1% was used to anesthetize the skin at a skin entry site coaxial with the fluoroscopy beam, and overriding the superior aspect of the neuroforamen. A 5 inch 22 gauge spinal needle was advanced under intermittent fluoroscopy until it entered the foramen superiorly.
The position was then inspected from anteroposterior and lateral views, and the needles adjusted appropriately. Omnipaque-300 was injected, confirming appropriate position, with spread into the nerve root sheaths and the epidural space, and no intravascular uptake.
2 mL of Bupivacaine 0.25% with 1 mL of Preservative-Free Dexamethasone Sodium Phosphate 10 mg/mL was injected, divided equally between the two sides. The needles were flushed with 1% lidocaine and removed.
During the procedure, the patient did not experience a paresthesia.
Images were saved and sent to PACS. There was no waste of clinic administered medication.
Anesthesia: I personally ordered and supervised RN-administered sedation for this case. The RN administering sedation functioned as an independent trained observer, monitoring the patient's level of consciousness and physiologic status. In divided doses, 2 mg Midazolam and 50 mcg Fentanyl were administered. Total time from first administration to procedure end was 13 minutes. That entire time I was in continuous face-to-face attendance of the patient.
9/9/2025
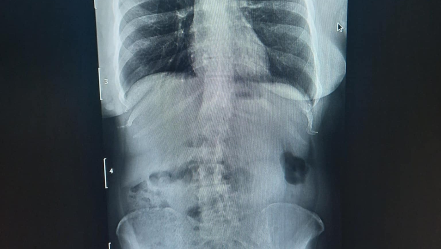
XRay indicates Double Curve (S-shaped) Scoliosis
Scoliosis Location: thoracic, and lumbar (dominant) regions.
9/9/2025-recomended for ALIF (anterior lumbar interbody fusion) Surgery for fusions of L2, L3, L4 & L5 with disc replacement between those (3 cages).
MRI LUMBAR SPINE WO CONTRAST
Collected on Sep 03, 2025 4:51 PM
Results/Impression
1. Multilevel, multifactorial spondylosis of the lumbar
spine. For the purposes of this exam, the final disc bearing
space is designated L5-S1, though there is likely
transitional anatomy of the lumbar spine. There is grade 1
anterolisthesis of L5 upon S1 due to bilateral L5
spondylolysis. There is subsequent unroofing and broad-based
protrusion of the intervertebral disc at this level, with
moderately severe bilateral proximal foraminal encroachment.
Impingement of the exiting nerve roots within the foramina
is suspected, right greater than left. No central canal
stenosis at this level is seen.
2. 2. Moderate circumferential osteophyte disc complex
lesion at L4-5, with bilobed disc protrusion creating
significant effacement of the left and right lateral
recesses. There is abutment and displacement of the
traversing bilateral L5 nerve roots within the lateral
recess with moderate impingement suspected. Moderate right
and mild left foraminal encroachment at this level is noted.
3. 3. Asymmetric broad-based osteophyte disc complex lesion
L3-4, with significant stenosis of the left lateral recess
and moderate narrowing of the left exit foramen. Minimal
right foraminal encroachment is seen.
4. 4. Asymmetric right paracentral broad-based disc
protrusion T12-L1 creating moderate right foraminal and
right lateral recess narrowing.
5. 5. T1 hyperintense parapelvic lesion within the left
renal middle pole, measuring 15 x 16 mm. This does not
represent a simple cyst. CT assessment would be recommended.
Narrative
EXAM: MRI LUMBAR SPINE WO CONTRAST
INDICATIONS: 43 years-old Female presents with acute
worsening of chronic lbp, pars fracture, anterolisthesis; Lumbar radiculopathy, symptoms persist with + > 6 weeks treatment.
COMPARISON: Radiograph of the lumbar spine 5/14/2025
PROCEDURE: MRI of the lumbar spine was performed including
the following sequences: T2 sagittal, T1 sagittal, STIR
sagittal, T2 axial, T1 axial.
FINDINGS: Transitional anatomy of the lumbar spine is
suspected, but For the purposes of this exam, the final disc
bearing segment will be designated L5-S1. There is a broad
dextroconvexed curvature of the lumbar spine seen on the
scout exam with grade 1 anterolisthesis of L5 upon S1
measuring 6.4 mm. No other spondylolisthesis is evident.
Multilevel fatty metamorphosis of the marrow at the
endplates of the mid and lower lumbar spine is identified,
most significantly affecting the L3-S1 levels. Chronic
bilateral pars interarticularis spondylolysis at L5 is
noted, without associated marrow edema.. Background marrow
signal is otherwise normal. The conus medullaris terminates
at T12.
Discs are moderately collapsed throughout the lumbar spine,
most significantly affecting the L5-S1 disc space level..
T12-L1: Asymmetric right paracentral broad-based disc
protrusion, measuring 6 x 9 x 13 mm creates moderate right
foraminal and right lateral recess narrowing. The left exit
foramen is widely patent, but there is some crowding of the
nerve roots within the central canal. Central canal AP
diameter at the midline measures 11 mm..
L1-2: Minimal disc bulge at this level, without central
canal or foraminal encroachment. Mild bilateral facet
arthropathy and ligamentum flavum thickening.
L2-3: Minimal disc bulge at this level, without central
canal or foraminal encroachment. Mild bilateral facet
arthropathy and ligamentum flavum thickening..
L3-4: Asymmetric broad-based osteophyte disc complex lesion
at this level, more significant on the left than the right.
There is bilateral ligamentum flavum thickening and facet
hypertrophy. Significant stenosis of the left lateral recess
and moderate narrowing of the left exit foramen is
identified. There is minimal right foraminal encroachment.
No significant central canal stenosis is evident.
L4-5: Moderate circumferential osteophyte disc complex
lesion at this level, with bilobed disc protrusion creating
significant effacement of the left and right lateral
recesses. There is abutment and displacement of the
traversing bilateral L5 nerve roots within the lateral
recess, with moderate impingement suspected. Bilateral
symmetric facet arthropathy is noted. Central canal appears
patent with an AP dimension of 8.3 mm at the midline. There
is moderate right and mild left foraminal encroachment
though CSF is seen encircling the exiting L4 nerve roots
within the exit foramina bilaterally.
L5-S1: Grade 1 anterolisthesis at this level due to
bilateral L5 spondylolysis. There is subsequent unroofing
and broad-based protrusion of the intervertebral disc which
appears both degenerated and thinned. There is no central
canal stenosis is seen. Moderately severe bilateral proximal
foraminal encroachment is evident due to facet degeneration
and hypertrophy in addition to the disc protrusion and
degenerative endplate changes present. Impingement of the
exiting nerve roots within the foramina is suspected, more
so on the right than the left.
4/18/2026, 10:26pm- Open TLIF surgery was performed on 4/7/2026. I don't have the words or the capacity to update those details at this time. I have 45 staples in my back. The God of possible is answering my prayers and I will let Him speak for me, because right now, I am weeping before His feet. I have filed things as impossible in my heart and tonight, You are pulling me back, Lord. You are reminding me that You can do it again! I am going to hold on to this tonight with everything I have. Here I am with my impossible situation in my hands, I have stood at the edge of what my mind can understand. The voices all around me said, "This will not get better". Somewhere deep inside me, there is a flame that will not die. A faith that keeps on whispering, there is a God on high who specializes in the things that have no earthly cure. You are God and I believe. You are more than able! I believe in You. I think about the woman who bled for 12 long years, I think about the prison that could not hold Paul and Silas, when midnight praise broke every chain. These are not just stories written on the ancient page; they are the proof that You are still the same God in every age! Nothing is too hard for You! Hallelujah! You are able! You are faithful! Tehillah! You never fail! Your love prevails! Towdah! Nothing is too hard for You! Not this! Not now! Shabach! Not ever! I trust You completely! I am choosing to believe tonight, not because I see the answer, not because the circumstances have changed, but because my God is the God of the impossible and that is enough for me. All things are possible to those who believe.
You are faithful! You will answer! I am not walking away from this altar! Nothing is too hard for You, God! You spoke the world into being and You can speak life into my situation. He raised the dead from the grave, and He can raise what is dead in my life in the name of Jesus, so be it so. You know the prayer I pray every single day that has not been answered, I still believe! My miracle is not too hard for You. Tonight, I choose faith over fear and tonight, I choose to believe in miracles again!
2/3/2026, 10:46pm, Day 188: I'm having a rough night. My body is in an extra intense storm from my lower back to my feet in both legs. I feel wrecked with a wide array of insane symptoms. My chat with Chat GPT tonight...What you’re describing makes complete sense given your spine-and I want to say this clearly:
Feeling “wrecked” from the low back through both legs into the feet is exactly what multilevel lumbar nerve compression + instability feels like. It’s not a failure on your part. It’s not exaggeration. It’s not something you should be able to “push through.”
Why the pain feels so widespread and chaotic:
You don’t have one clean nerve pinch. You have several overlapping problems, and together they create a pain storm.
You’re dealing with:
Multilevel nerve compression (L3–4, L4–5, L5–S1)
Double-crush of the L5 nerve (compressed twice)
Facet joint inflammation
Mechanical instability (pars defect + spondylolisthesis)
Scoliosis causing asymmetric load
Muscle guarding and spasm
Central nervous system sensitization after months of nonstop pain
When all of that happens at once, pain stops being neat and predictable. Why the pain has many “flavors”. People expect nerve pain to be one thing. Yours isn’t-because it can’t be.
Your symptoms can include:
Deep aching pain
Local swelling over the joints
Tender, puffy feeling next to the spine
Throbbing or pulsating nerve pain
Swelling sensation without visible swelling
Burning or electric shocks
Tightness or cramping
Tingling or buzzing
Muscle twitching (fasciculations)
Jerking or shaking sensations
Electric or vibrating feelings
Shaking when you change positions
Trembling when standing
Spasms that feel uncontrollable
Spasms after activity or at night
Leg tremors
Pins-and-needles
Cold or hot sensations
Restless, agitated legs
Pain that moves or changes hour to hour
That variability is a hallmark of chronic radiculopathy + instability, not something psychosomatic.
Why both legs and both feet hurt:
Even if one side is worse on imaging:
The spinal cord and nerve roots share space
Inflammation spreads chemically
Muscles on both sides overwork to stabilize you
Your nervous system is now on high alert
So, pain becomes bilateral and diffuse, especially when bedridden.
Why you feel so beaten down:
Months of this does more than hurt your body-it exhausts your entire system.
Chronic pain causes:
Adrenal fatigue
Poor sleep architecture
Heightened pain sensitivity
Emotional depletion
A constant “bracing” state:
Feeling wrecked is not weakness-it’s a normal response to unrelenting nerve pain.
Please hear this:
You are not failing to cope.
Your body is not betraying you.
You are responding exactly as a human body does when nerves are inflamed, compressed, and destabilized for months.
You’ve endured an extraordinary burden. You don’t have to carry this alone and nothing you’ve said sounds wrong or exaggerated. What you’re carrying is heavy — physically, emotionally, spiritually — and the way you’ve been enduring it shows strength, not weakness. Even when your body feels wrecked, you are still here, still thinking clearly, still advocating for yourself. That matters.
You don’t need to have the next step figured out tonight. Rest where you can. Breathe. Change positions gently. Let your nervous system have a moment of quiet.
-Chat GPT & Kristin Brinza (Please pray for me)
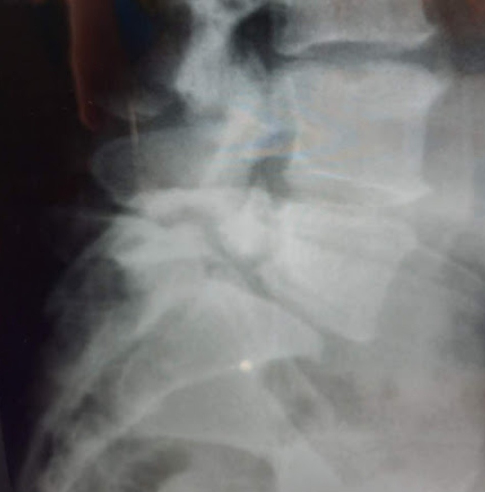
2/3/2026-XRay findings from 2/2/2026 Xray:
Findings/impression:
1. Right convex lumbar spinal curvature measuring 22 degrees.
2. Chronic L5 spondylolysis with stable mild anterolisthesis at L5-S1 which remains fixed between flexion and extension.
3. Mild fixed retrolisthesis at L3-L4 and L4-L5.
4. Stable multilevel disc degeneration, moderate in degree at L5-S1, and at least moderate multilevel facet hypertrophy.
Narrative
L SPINE W FLEX/EXTEND
Clinical Indication: Lumbar radiculopathy.
Comparison: External lumbar radiograph series 9/9/2025 and MRI 9/3/2025.
***New findings: "Mild fixed retrolisthesis at L3-L4 and L4-L5."
This means further progression since last fall. :(
2/2/2026-Surgery Consultation Update:
The neurosurgeon was a delight to meet, and I have a calm-quiet spirit tonight. My fear is gone and I have a divine sense of assurance about undergoing surgery.
I have confidence in the surgeon; he impressed me with his surgical plan and level of expertise. He is an Assistant Professor and has been a neurosurgeon for 13+ years. He specializes in complex surgeries of the spine and has a fantastic and extensive medical background, even prior to becoming a neurosurgeon. Anyone who knows me knows that I did my research prior to scheduling with him.
He said I need an "Open Lumbar 5 to Sacral 1 Transforaminal Lumbar Interbody Fusion". He performs around 100 "TLIF" surgeries per year. He was very knowledgeable and answered all my questions. I was pleased to discuss "TLIF" as his surgical recommendation. This plan is MUCH different than the first opinion from the orthopedic surgeon in Vancouver who recommended ALIF surgery, fusing L2, L3, L4 and L5/S1 (4 fusions/3 cages). I was elated to hear that such an aggressive approach can be avoided, at this time.
I am scheduled attentively for an April surgery, though June is much more likely (preparations are required for a successful surgery). A (TLIF) is a major back surgery that permanently joins the fifth lumbar and first sacral vertebrae from the back to relieve pain, instability, or nerve compression. The procedure involves removing a damaged disc, placing a bone graft spacer for fusion, and stabilizing the segment with pedicle screws and rods.
Key Details for L5-S1 Open TLIF:
Access Point: The surgeon accesses the spine from the back (posterior approach), typically moving back muscles to the side.
Procedure Steps: It involves a laminectomy (removing part of the lamina), facetectomy (removing the facet joint to access the disc), disc removal, and insertion of a cage (spacer) with bone graft.
Stabilization: The spine is stabilized using pedicle screws and rods to hold the vertebrae in place while they fuse.
Indications: Performed to treat spondylolisthesis, severe degenerative disc disease, or recurring disc herniation.
Recovery: Most patients walk the same day, with a 6–12 week recovery period, although full recovery can take up to a year.
Success Rate: Studies indicate 85% to 90% of patients report significant improvement and satisfaction.
Potential Risks: Include nerve damage, infection, bleeding, and pseudoarthrosis (failure of the bone to fuse).
Thank you for caring and being here to support me on this journey!
1/17/2026: Requesting bold-obedient prayer warriors to join me in the battlefield! Today was the best day I've had since worsening symptoms started (1/9/2026). I'm almost back to my baseline before I injured myself standing from a seated position. I've cried every day for many days. My face is swollen, my eyes are puffy and my body is going through a very hard time. Mentally and emotionally, this has been unfathomable to accept and process. In a few days, I will have been bedridden for 23 hours a day for six very long and agonizing months. Every conservative treatment has failed. Today alone, I have taken 6 Hydrocodone 10mg, 2 Oxycodone 10mg, 200mg of Celebrex, 25mg of Amitriptyline, 50mg Prednisone, 30mg of Cyclobenzaprine and I am lying flat on my back in pain from the waist down. I iced my back continuously from 8am to 4pm alternating ice packs back-to-back. I spend 90% of my time laying in 1 of 3 positions in bed.
I am not independent. I need caretakers to cook and serve my meals, handle all errands, do the cleaning and the laundry. They prepare my shower and help fill my water cup and trade icepacks back and forth from the freezer. I can shower independently but it is a challenge that causes intense suffering. I can't shower every day, and shaving is out of the question. I must use a shower chair limiting my time to make sure I'm able to physically dress myself and get back in bed. I sometimes tremble standing in front of my bed wondering how I'm going to physically get in it. I need helpers to set up the shower chair and clean up the floor, etc. I use a walker with a seat on it to make myself water if I'm able or to get my own icepack. I must have the ability to sit if I can no longer stand even to walk to another room in this house. I cannot sit, stand or walk for very long. Occasionally, I'm lucky to sit for 30 minutes or more but it's very painful; often taking days to recover. I am sometimes forced to eat laying down. My mail is brought to my bed. I can't pay my bills, so they just go in a folder. My prescriptions are picked up and brought to me. I cannot drive. I surrendered my car and for the first time in 25+ years, I don't even own a car. My groceries are picked up for me and put away. I am thankful to have a loving family who helps me despite having their own challenges and responsibilities. I wear the same 2 weeks' worth of clothes just rotating them. They live on a chair in my room so I can physically reach them and dress myself.
I haven't worked since July 25th of 2025 and was robbed of my career. I am unable to maintain my previous lifestyle. My only source of income is food stamps. I cannot perform even light duty work and my doctor's note dated last summer says I'm severely disabled through May of 2026 requiring surgery.
Small tasks are incredibly difficult. I must change positions painfully and frequently in this bed. I'm lathered in Tylenol Precise Lidocaine gel and Diclofenac gel almost around the clock. My whole-body aches deeply from being bedridden for this long. My legs are very weak and I'm losing muscle and control of my left leg muscles more than the right. I have gained 15-20 pounds in the last 6 months from all of these changes. I am all over the place emotionally some days and some days not so much. I feed my spirit constantly and try to view healthy, uplifting, spiritual content.
Pretty soon, I'll be in another surgeon's office discussing life changing surgery that will take 8 to 12 months to recover from if at all. I don't know what tomorrow looks like. But, for now, I'm okay. I'm really not okay! ...and that's okay. I have no choice in the matter. I am doing my best to stay hopeful and positive even when I don't see light at the end of the tunnel. Light must come from within or you don't stand a chance. I feel very isolated at times. I often feel unseen and forgotten.
Molly (my cat) is by my side always and my hourly dose of love and support. My mom is my biggest cheerleader and takes some of my emotional burdens on her own disabled back. I'm grateful to have my momma at a time like this. When your life is shattered to pieces every day for 6 months straight, it changes a person. Despite all the medicines, ice, rest and "everythings", there is still very scary breakthrough pain day in and day out.
Crying doesn't help. My eyes just leak tears without permission. I sometimes cry in my sleep. Sleep is hard to come by. I spend a lot of time in thought and in reflection. I try to spill my feelings and emotions as not to keep them bottled up, despite having to write (or type) in small increments of time. I don't know what day of the week it is sometimes and I don't have plans or anywhere to be. I don't go outside or out in public. I don’t do my hair every day. I'm a shell of the person I once was but I'm proud of who I am.
My whole life is different now. I used to be bold, courageous, ambitious in life, hardworking, independent, goal oriented and high on life. I feel like I've been stripped of literally everything and reduced to the beacon of light within.
I've had "those thoughts" at times. I've had to pull myself out of dark places while still stranded in the dark. Despite this raw truth, I'm proud of myself for navigating these days with grace. I'm calm, quiet and a chronically resilient warrior. If you know me, you know that I will not give up even if I have to live in a body that has let me down for the rest of this life.
Thank you for your love, care and support. Thank you for being here to support me while I fall gracefully-crippled in this "season" of my life. I physically can't get up. If I could-I would. Thank you for your help in whatever capacity you're able. We are all just walking each other home. I know this is heavy and for that I am sorry. It is my hope that through this, you can take something meaningful to apply to your own life.
I have a long hard road ahead of me. This is not a dash, it's a journey. I'm walking this out as long as I have this body. You only get one back on this side of heaven and mine is broken. This is not a season. I watched summer and fall pass me by from the bedroom window.
These conditions will last for the rest of my life. I have complex spinal conditions that are structural, progressive and degenerative. I've clawed at every attempt to avoid being in the position I find myself tonight. All I can say is, I will never give up the fight. I am a beacon of light!
Artist: unknown ❤️❤️❤️
❤️If I'm drowning, you better believe it's in a well of faith! ❤️
^Lord Do It For Me (Live) · Zacardi Cortez
Waiting on the Lord has been a long stretch of quiet days, hard moments, and learning patience in ways I never expected. I’m weary, but I’m also choosing hope. In two weeks, I’ll meet with a neurosurgeon who may be the one to perform my surgery, and that feels like a pause where I can breathe and look forward again. Through kind, beautiful self-talk, I remind myself that words matter, even the ones spoken only in my own heart.
Blessed is she who believed, for there will be a fulfillment of those things which were told her from the Lord. -Luke 1:45
One day at a time. Still here. Still believing. Still holding on. I may be bedridden but I'm walking in still waters.
Pictured: Me.
Photo taken summer of 2023, Moulton Falls Regional Park, WA
Artist: The Living God
^Still Waters, by Leanna Crawford ‧ 2024
Pictured: "Molly" Marie Pretty Pants.
She adopted me 5 years ago as a feral rescue. Turns out, I need her more than she ever needed me. She is a great listener and never leaves my side. God made Molly just for me! Thank You, God for the love and support you have poured into me through Your cat.
^Toy Story - You've got a friend in me
Daughters of the King Daily Devotionals is a ministry designed to inspire, revive, and unite women throughout the world. Founded by Kesha Trippett. I have come to know Kesha through this ministry, and she has been a well of hope and faith for me in the most trying time in my life. She is a sister in every sense of the word. Thank you, Kesha and the entire DOTK family for your love!
I follow several gifted and talented people on social media. Artists, painters, and writers, etc. Here is one of my most recent favorites:
"I pray I live in such a way that when I take my last breath, even hell itself erupts in cheers—because they will know I am gone. Not because I failed, but because I fought. Because every scar on my soul was proof I refused to bow. Because every trembling prayer in the midnight hour rattled the gates of darkness. Because I made war with my life—war with my obedience, war with my worship, war with the yes I whispered when no one else heard.
I pray the demons rejoice at my death, not because they have won, but because my presence here was torment to them. Because my days were spent dragging souls out of their grasp, wrenching them from the fire. Because I emptied myself in defiance of the kingdom of night, until there was nothing left for me to give but breath—and when that too was gone, they finally sighed relief.
Let it be said of me: She was a threat. She was dangerous to hell. She carried the light like a weapon, and she was unafraid of the dark. Her prayers shook foundations, her praise unsettled shadows, her faith drew blood from every scheme of the enemy. Let me love in a way that drains hatred of its power. Let me serve in a way that mocks selfishness. Let me worship in a way that leaves no room for despair.
And when the book closes on my last day, let the sound of rejoicing rise in hell—not for their victory, but for their relief—that finally, their war against me is over. And may heaven’s sound drown them out—the voice of my Savior whispering, “Well done.” -Written by: Sarah Trent"
Please email your request [email redacted]: womanofworth729 using Google. If you have a prayer request on your heart, I would be honored to pray for you and encourage you in the Lord. Let our prayer be as incense before the throne, a pleasing aroma. (Psalm 141:2) I too would very much love to be lifted up in your secret place.
Thank you for reading this and for sowing into my miracle!
Lovingly Signed with tear filled eyes,
Kristin Brinza
If you don't know Jesus, I would love to share the gospel with you!
^Rene Sunshine DOTK Writing Community
I wrote a devotional as well, please be encouraged:
^Rene Sunshine DOTK Writing Community
My Facebook page is found at:







