- K

On November 29th, 2020, one week before his 68th birthday, my father woke up in a hospital bed, unable to speak or walk.

Just a day earlier, I flew from Bend, Oregon to Salt Lake City, Utah due to my growing concern for his condition as he was exhibiting classic signs of a stroke. As if the thought of a stroke was not bad enough, we were shocked and gutted to find that his diagnosis was actually much worse. Test results revealed that his symptoms were actually caused by inflammation on his brain as a result of three large cancerous tumors and that those tumors had actually spread from his lungs and liver.
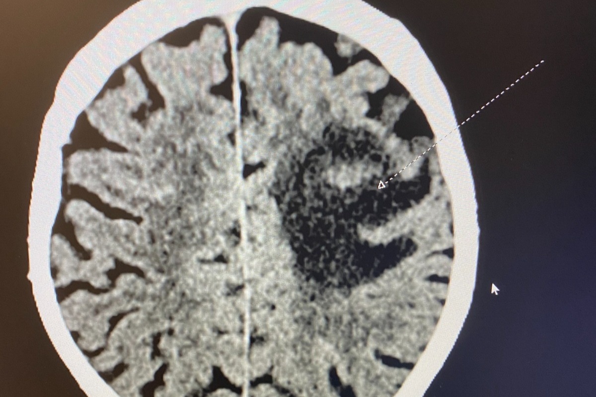
The diagnostic CT scan of one of the larger tumors on Dad's brain.
In the blink of an eye, my father had gone from having many years ahead of him to a terminal diagnosis with possibly a year to live with treatment. With the help of my sister, we have since brought him back to Bend, where he lives with my husband and I in our one-bedroom apartment so that we can care for him full time as he undergoes aggressive treatment that takes a massive toll on him.
Needless to say, the future is incredibly uncertain and everyday brings about new challenges. My priority is to provide my father with as much comfort, love and support as is possible for the remainder of his life. Having spent several years now in the Pacific Northwest, my husband and I have developed a deep appreciation and love for the outdoors. Rain or shine, you can find us out on the trails, taking in the incredible beauty that most only see on TV, and it is my wish to share this with my father. In order to do this, a regular wheelchair simply will not cut it and the specialty chair that is capable of getting off the beaten path is not a cheap one.

My ultimate goal is to procure enough donations to purchase an adaptive wheelchair, The Kartus MKII, and once my father ultimately passes, we would like to pay it forward and donate it to another family in need or to an organization that can best utilize it to pass on our love for the outdoors to someone that would otherwise not have the opportunity.
A Sample from Kartus
Any contribution will be an immense help towards achieving this dream with the limited time that we have left.


Just a day earlier, I flew from Bend, Oregon to Salt Lake City, Utah due to my growing concern for his condition as he was exhibiting classic signs of a stroke. As if the thought of a stroke was not bad enough, we were shocked and gutted to find that his diagnosis was actually much worse. Test results revealed that his symptoms were actually caused by inflammation on his brain as a result of three large cancerous tumors and that those tumors had actually spread from his lungs and liver.
The diagnostic CT scan of one of the larger tumors on Dad's brain.In the blink of an eye, my father had gone from having many years ahead of him to a terminal diagnosis with possibly a year to live with treatment. With the help of my sister, we have since brought him back to Bend, where he lives with my husband and I in our one-bedroom apartment so that we can care for him full time as he undergoes aggressive treatment that takes a massive toll on him.
Needless to say, the future is incredibly uncertain and everyday brings about new challenges. My priority is to provide my father with as much comfort, love and support as is possible for the remainder of his life. Having spent several years now in the Pacific Northwest, my husband and I have developed a deep appreciation and love for the outdoors. Rain or shine, you can find us out on the trails, taking in the incredible beauty that most only see on TV, and it is my wish to share this with my father. In order to do this, a regular wheelchair simply will not cut it and the specialty chair that is capable of getting off the beaten path is not a cheap one.

My ultimate goal is to procure enough donations to purchase an adaptive wheelchair, The Kartus MKII, and once my father ultimately passes, we would like to pay it forward and donate it to another family in need or to an organization that can best utilize it to pass on our love for the outdoors to someone that would otherwise not have the opportunity.
A Sample from Kartus Any contribution will be an immense help towards achieving this dream with the limited time that we have left.


