- V
- K
- M
8/20/25 - UPDATE: I am now almost 10 months postop from my two brain surgeries to remove two brain tumors. I am continuing to struggle with life-altering health issues, particularly cognitive deficits from frontal lobe nerve damage and have been unable to secure a job due to my medical issues. I have had several interviews in recent months, including a desperate attempt to secure a job in my industry I traveled 10 hours to Brentwood TN three weeks ago in hopes of getting hired, but I do not do very well cognitively, especially with the increased anxiety of interviews, which worsens my cognitive symptoms, so I did not get the job.
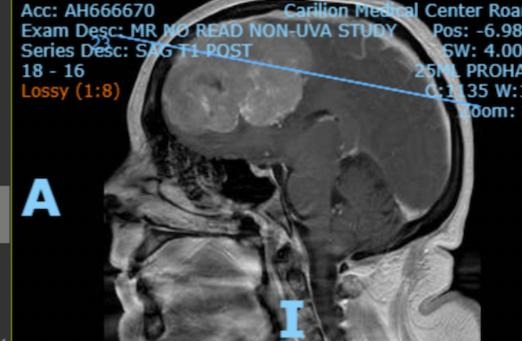
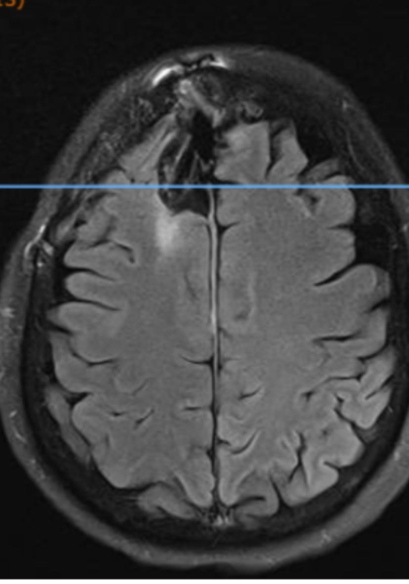
After undergoing an MRV of my brain on 08/14/2025, my neurooncologist called me on Monday, 08/18/2025 and informed me that I have another small brain tumor that is pressing up against the superior sagittal sinus vein in my brain, a large vein that drains blood and cerebrospinal fluid and helps to prevent hemorrhage and stroke, and that I must watch my stress since the MRV showed the tumor is severely constricting the vein.. as I could easily have a stroke or hemorrhage. Unfortunately she told me that the tumor is not operable as it is too risky to remove a tumor that is attached to such a large vein as it would likely cause a fatal brain hemorrhage during surgery. She is particularly concerned about the tumor growing and causing serious life-threatening issues because the large tumor I had removed was very aggressive and atypical, grade 2-3. She additionally informed me that I have yet another brain tumor discovered in the posterior (back) part of my brain that is also inoperable if it grows and starts to cause me further problems. I will continue having brain MRIs every 6 months to check for tumor growth.
She is referring me to a cancer geneticist as the largest brain tumor that was removed in 10/2024 tested positive for a very rare genetic disorder called NF2 Q410, (neurofibromatosis type 2) which causes brain and spinal cord tumors. My 24-year-old son will be undergoing testing for this genetic condition soon also. Please pray he is negative. The genetic test will see if the NF2 was confined to the resected tumor or if I indeed have the genetic disorder.
This is all very overwhelming and stressful, to put it mildly, but continually praying for miracles as I know God is able. I am asking for assistance as I have run out of unemployment payouts this week, and currently have no income. As badly as I want to work, and have tried for months, I am coming to terms with the fact that I am unable to work due to my health, nerve damage and encephalomalacia/missing brain tissue in my frontal lobe which causes left leg weakness, severe fatigue, worsened severe anxiety, increased heart palpitations from the fatigue and stress, severe nerve damage that is causing other health issues which are not helped with medication, cognitive deficits, which affect my ability to process things, executive functioning, short-term memory and word recall. I have filed for disability a few months ago but it could realistically take months or years to get approved. I was counting on financial aid funds to be deposited last week from a university class I am taking but financial aid has been stopped due to my dropping one of two classes in July, due to my brain issues, as two expedited 7 week courses is too much to handle for me. I have to study double the time to help retain at least some of the information, compared to the time I had to study before my brain issues/surgeries. I sincerely and urgently need assistance and prayers. I only ask for help when truly needed, hence I am reposting this fundraiser after many months of not posting it, when I received weekly unemployment payouts. Any amount is kindly appreciated. More than anything, prayers are needed for my brains healing, and very much appreciated.
4/29/25– UPDATE- I want to express my sincere appreciation to everyone who has helped me thus far. Including a few checks that were sent to me the total so far is $1010.00 dollars. I am far from my goal, but I know God will make a way. After all,He owns the cattle on more than 1000 hills. Thanks again, so much, for the ones who have helped or shown support and kindness for my situation. I am praying for God to bless you in a special way.
______________________________________
My name is Christine. Please bear with me as I try to give an abbreviated version of a long story. I underwent two urgent brain surgeries, six days apart, approximately five months ago, to remove a massive 8.5 cm cancerous brain tumor. I spent two weeks in the ICU and 31 days in the hospital in Roanoke, VA. After the first brain surgery, I was told I had a blood clot on the top of my brain, for which I am continuing daily medication. It is called a CVST, which is a rare stroke. .. five days after my first surgery I was told I would need a second brain surgery because there was still some of the tumor left that needed to be removed.
I will need to undergo brain MRIs for the rest of my life to check for regrowth because the mass was aggressive and malignant, as there is a high probability of regrowth on my brain and/or spinal cord. I have been recovering from the surgeries at my sisters for the past 4 months and have been recently released to go back to work, hence I’ve been applying for several jobs. I just recently completed approximately three months of physical therapy, which has been somewhat helpful for my left leg weakness/nerve damage.
I was living in Mississippi at the time I became very ill, and I lost my job due to decreased work performance because of cognitive deficits caused by my brain tumor, and because of being replaced by AI. (I worked as a virtual medical scribe for family doctors in Alaska). I was attempting to travel to Virginia to relocate where my sister resides. During the trip, I was deteriorating fast and after 5 EMS calls/3 ER visits that week, I was diagnosed and told that I needed urgent brain surgery as I was due for an imminent massive stroke. I was then urgently transferred to Roanoke Hospital in Virginia.
My sister and her husband thankfully drove all night from Virginia to Chattanooga to pick me up at an emergency room there, after the police had been called by my sister and my son because no one could reach me that evening because I was stuck on some stairs at a church.. I had left my phone in my car while I went to knock on the door, trying to get help with gas because I lost my debit card..no one answered, so I sat down on the stairs… because of the left leg weakness and near total numbness, I was unable to get up.
Around six hours later, when it was dark, thankfully a police officer found me, helped me get up and back to my car, and called EMS. He was so kind and humble, a godsend.
( Before leaving MS, With my son's help, because of time constraints with my rental car, I had to put my things in storage quickly in Mississippi and had to leave many essential things in my apartment that would not fit in storage, including my washer and dryer, my bed, kitchen table, desk, absolutely everything in my kitchen/bathroom, etc, and some sentimental things, which bothers me the most, as they cannot be replaced.. My executive functioning was messed up in my brain, and it was very hard to process things, and carry out and complete tasks, which is part of the reason why I left behind so much).
I am still struggling with frontal lobe syndrome, left leg weakness, vision problems, tinnitus, and fatigue, but I am trying the best I can to move forward, and continue to recover more each day.
I am asking for assistance for funds needed to travel 13 hours to Mississippi to get my things out of storage/rent a moving truck, help pay for and frugally replace many essential items that were left in Mississippi so that I can try to rebuild my life here in Virginia, funds needed for help with securing a rental, as I am still living with my sister.. my nieces rental house is available soon, which is very affordable, which is so extremely rare in today’s economy, so I am praying for a miracle to be able to get a good job and rent this peaceful little house soon.
…anyone who knows me knows that I do not ask for help unless it is absolutely necessary, but I am willing to ask and put it in Gods Hands to work through His people. I would very much appreciate any help ~ any amount is helpful and greatly appreciated, as it will greatly assist as I continue to try to recover and rebuild my life after this unexpected medical emergency and loss of my job. If you would rather donate by Cash app, mine is $ChristineRR461974.
If you understand the power of prayer, I would appreciate your prayers so much. I have been told several times that I am a miracle, for which I am very thankful to be alive and give Jesus all the praise for saving my life. Sincerely, Christine.




