- J

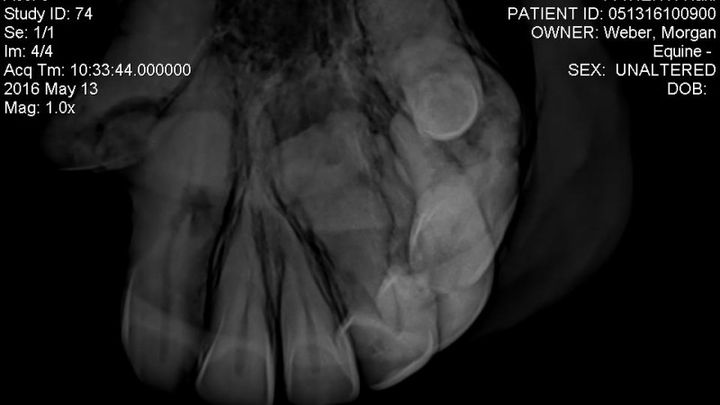
Those who know me well also have had the pleasure of meeting my life long best friend, Harli. He is a pure Spanish Arabian who just turned 26 on Friday the 13th. We have been by each others sides for 16 years - since I was 12! On his birthday Harli had X-rays done on his front teeth because the Vet suspected he had EOTRH *For more detailed info on the disease, see website : http://www.midwestequineservices.com/eotrh-syndrome/
.
Unfortunately he has a very serious case of this dental disease newly identified in the equine world. Not much is known as to the cause nor the preventative treatment, but once a horse has it all that can be done is to remove the teeth entirely. Harli needs most if not all of his front teeth surgically removed at a surgical facility in Gilroy, CA so that his chronic pain can end.
Having done full blood panels and testing for other disorders and diseases to have them all come back negative, with X-ray images such as the one provided, it is clear now that this dental disease, which has gone undetected in Harli for what appears to be many years now, is the cause of his dramatic weight loss and inability to gain weight.
Harli is down 200 lbs! Similar dental diseases in humans are known to cause chronic migrains and inability or nondesire to eat due to the tooth and gum pain. My poor boy has suffered long enough!
Harli, though older, is still full of life! Most people when they see him say he acts as though he is but 3 years old! He is very expressive, vocal, and loves to go on trails and loves a good run and buck everynow and again! Though older, he is full of life and deserves to live another 5-10 years without pain.
100% of money will go directly to the surgery and after care of Harli at the surgery facility.
I need the funds as soon as possible. The sooner I can save the money, the sooner Harli can get the treatment he needs.
Harli has been in my life through so many significant changes and mile stones. As with any family member, I pledge to do whatever I can to help him. He is in too good of spirits and energy to be put down (he has so many more years to live!), and yet he is in so much pain that is fixable - if only I had the funds.
Please support Harli and me. My old man will give you the biggest gummie smile when it is all through. <3
.
Unfortunately he has a very serious case of this dental disease newly identified in the equine world. Not much is known as to the cause nor the preventative treatment, but once a horse has it all that can be done is to remove the teeth entirely. Harli needs most if not all of his front teeth surgically removed at a surgical facility in Gilroy, CA so that his chronic pain can end.
Having done full blood panels and testing for other disorders and diseases to have them all come back negative, with X-ray images such as the one provided, it is clear now that this dental disease, which has gone undetected in Harli for what appears to be many years now, is the cause of his dramatic weight loss and inability to gain weight.
Harli is down 200 lbs! Similar dental diseases in humans are known to cause chronic migrains and inability or nondesire to eat due to the tooth and gum pain. My poor boy has suffered long enough!
Harli, though older, is still full of life! Most people when they see him say he acts as though he is but 3 years old! He is very expressive, vocal, and loves to go on trails and loves a good run and buck everynow and again! Though older, he is full of life and deserves to live another 5-10 years without pain.
100% of money will go directly to the surgery and after care of Harli at the surgery facility.
I need the funds as soon as possible. The sooner I can save the money, the sooner Harli can get the treatment he needs.
Harli has been in my life through so many significant changes and mile stones. As with any family member, I pledge to do whatever I can to help him. He is in too good of spirits and energy to be put down (he has so many more years to live!), and yet he is in so much pain that is fixable - if only I had the funds.
Please support Harli and me. My old man will give you the biggest gummie smile when it is all through. <3

