- C
- J
I am trying to keep this a little brief - I have always been ill, for most of my life I thought I had epilepsy and I was diagnosed, as well as diagnosed with it. After an accident where I broke my knee a physio suggested to me I looked into hypermobility, that turned into elhers-danlos syndrome and from there I became a part of the community, I was asked about how I felt and someone suggested being tested for cranial cervical instability.
Then my while world opened.
I did the tests as it was suggested and spoke to specialists, I was eventually diagnosed with Cranial cervical instability and Atlantoaxial instability, as well as a Chiari Malformation - my skull was crushing my brain stem and my nerves/vessels- and it had been happening for TEN YEARS, just getting worse and worse.
Where my symptoms were not always the same, I spent my whole life thinking it was normal to be in pain, my vision has been permanently damaged and I was having trouble walking more than a couple of feet, or eating/keeling down food, I was crawling from place to place as I felt so ill. I lost a lot of feeling in my limbs to the point of occasional paralysis and had the traditional bobblehead feeling.
I will let this article explain in much more detail.
Link about my illness

Then my while world opened.
I did the tests as it was suggested and spoke to specialists, I was eventually diagnosed with Cranial cervical instability and Atlantoaxial instability, as well as a Chiari Malformation - my skull was crushing my brain stem and my nerves/vessels- and it had been happening for TEN YEARS, just getting worse and worse.
Where my symptoms were not always the same, I spent my whole life thinking it was normal to be in pain, my vision has been permanently damaged and I was having trouble walking more than a couple of feet, or eating/keeling down food, I was crawling from place to place as I felt so ill. I lost a lot of feeling in my limbs to the point of occasional paralysis and had the traditional bobblehead feeling.
I will let this article explain in much more detail.
Link about my illness
You can find lots of articles about me by googing "Zoe Elliott Neck"

After getting to 30k I managed to borrow 5k to get my surgery, since it was all such a rush and in the middle of covid it was terrifying.
I am trying my best with physio and pain medications, and I am trying hard to pay back the 5k to pay back the surgery.
That is one reason this is still up, the other is that later on in my life they feel that I will need more surgery (internal screaming)
I have no wish to collect any money in advance once I have paid back my debt, however I would like to keep this active so it can be added to in my future and so I have contacts that love me on here.
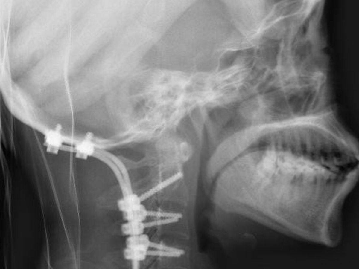
Here is a recent photo to show how well my recovery is going, slowly, but surely.
I am trying my best with physio and pain medications, and I am trying hard to pay back the 5k to pay back the surgery.
That is one reason this is still up, the other is that later on in my life they feel that I will need more surgery (internal screaming)
I have no wish to collect any money in advance once I have paid back my debt, however I would like to keep this active so it can be added to in my future and so I have contacts that love me on here.
Here is a recent photo to show how well my recovery is going, slowly, but surely.
Organizer
Zoe Maria Elliott
Organizer

