There is a benefit show at Connies on 12/09. Love to Esher, Sharkey, the bands, and the folks spinning records. Many, who cannot attend the show, have asked how they could help. This campaign is the answer to that question.
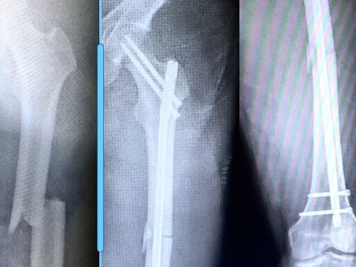
Back in the beginning of August, Cas broke his femur. The following morning, they performed emergency surgery to repair the break by inserting a rod through the bone and a handful of screws to hold to whole mess together.
At the time of the accident, he was just finishing up a lay off and was scheduled to return to work the following Tuesday. Translation - unemployment exhausted, no disability, and no insurance. Worst possible scenario. The heal time on this is between 6-12 months before he can return to his job as a stone mason.
Since he would never ask for help, let’s just step up and offer it. Money raised will go towards bills, life costs, and helping to make sure Kodi has a good Christmas.
Holla at your boy.

Back in the beginning of August, Cas broke his femur. The following morning, they performed emergency surgery to repair the break by inserting a rod through the bone and a handful of screws to hold to whole mess together.
At the time of the accident, he was just finishing up a lay off and was scheduled to return to work the following Tuesday. Translation - unemployment exhausted, no disability, and no insurance. Worst possible scenario. The heal time on this is between 6-12 months before he can return to his job as a stone mason.
Since he would never ask for help, let’s just step up and offer it. Money raised will go towards bills, life costs, and helping to make sure Kodi has a good Christmas.
Holla at your boy.

Organizer
Alyssa Banks
Organizer
Philadelphia, PA