Most of you will have seen my multiude of photos of my darling boy Luka.
He had a terrible start,handed in to Independent Borzoi Rescue (UK) at just 5 weeks of age, I fostered him, failed and kept him.
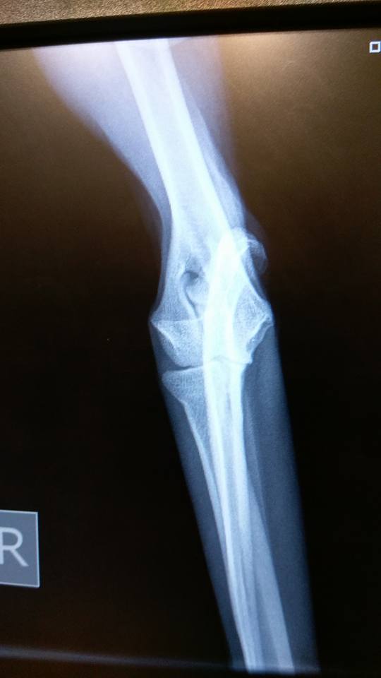
He has a host of problems but now needs elbow surgery.
As you can see his bone is going off at an angle. The plan is to cut a wedge from his ulna, realign the bone with titanium plates and then use stem cell therapy in his elbow joint as it has significant collapse.

This surgery has a huge success rate and as Luka is only two and half I need to give him the best shot. Unfortuantely due to his health issues he's "uninsurable" as trust me all my dogs are normally insured, so I'm swallowing my pride and asking you wonderful people for your help.
Please help me raise the £5000 he will need, any small amount will help and we will be eternally grateful.
Thank you all in advance
Michelle & Luka
.
He had a terrible start,handed in to Independent Borzoi Rescue (UK) at just 5 weeks of age, I fostered him, failed and kept him.
He has a host of problems but now needs elbow surgery.As you can see his bone is going off at an angle. The plan is to cut a wedge from his ulna, realign the bone with titanium plates and then use stem cell therapy in his elbow joint as it has significant collapse.

This surgery has a huge success rate and as Luka is only two and half I need to give him the best shot. Unfortuantely due to his health issues he's "uninsurable" as trust me all my dogs are normally insured, so I'm swallowing my pride and asking you wonderful people for your help.
Please help me raise the £5000 he will need, any small amount will help and we will be eternally grateful.
Thank you all in advance
Michelle & Luka
.
Organizer
michelle marchant
Organizer

