- A
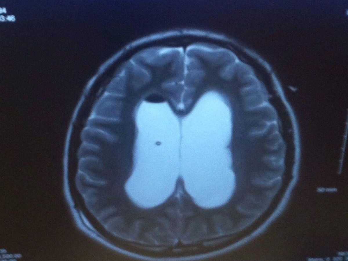
Hi, im trevor, im 23 and i have a brain tumor that is inoperable and type 1 diabetes. Im not normally one to ask for help, but Medicaid cant cover everything for me, the funds will go twords medical issues i still have, and living expenses, as i dont have a job and i cant drive, i tryed to apply for ssi but ive been denied, thats why im asking. My sister told me to make this as a way to helping me out.
