- C
- J

Ayúdame a volver a caminar sin dolor
Hola, mi nombre es Dulce, tengo 30 años y vivo en Zapopan, Jalisco.
Desde los 10 años vivo con insuficiencia renal crónica, una enfermedad que ha marcado gran parte de mi vida.
A los 15 años, mi mamá me dio el regalo más grande: me donó un riñón. Sin embargo, mi cuerpo lo rechazó y desde entonces he seguido en tratamiento con hemodiálisis. Con el paso de los años, esto ha provocado complicaciones graves, sobre todo en mis rodillas.
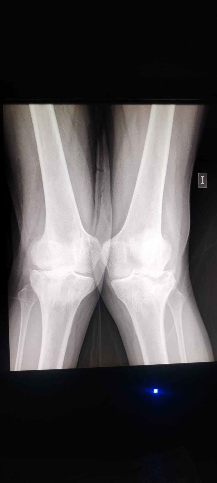
Debido a la forma en la que camino, el cartílago de ambas rodillas se ha desgastado por completo, y ahora los huesos chocan entre sí. Esto me genera un dolor constante e incapacitante que me impide moverme con libertad y trabajar como antes.
Necesito con urgencia prótesis en ambas rodillas para poder volver a caminar, trabajar y vivir sin dolor.
En el IMSS me han dicho que no pueden operarme, ya que las prótesis solo se otorgan a adultos mayores, y por mi edad no me las pueden proporcionar.
Por eso recurro con humildad a ti y a tu generosidad.
Los fondos recaudados se utilizarán para:
• Comprar las prótesis de rodilla (ambas).
• Cubrir parte de mis terapias de rehabilitación postoperatorias.
Mi mayor deseo es vivir sin dolor y no perder la capacidad de caminar.
Tu ayuda, por pequeña que sea, significa muchísimo para mí.
También me apoyas al compartir esta campaña con más personas.
Gracias de corazón por leer mi historia y por ayudarme a dar este paso hacia una vida mejor.




