- A
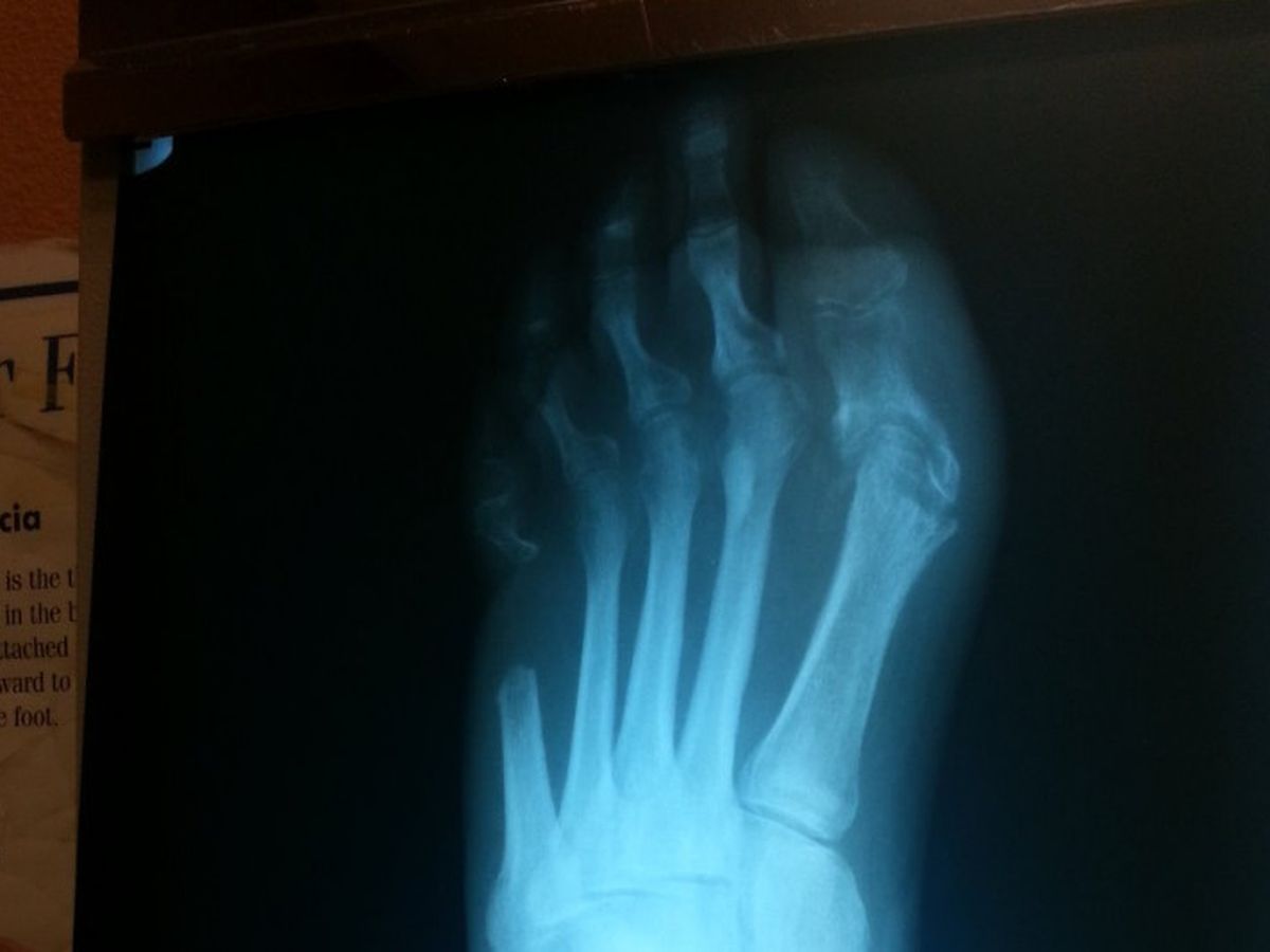
through most of 2016 I have been getting treatment for a bone infection in my left foot. Following the treatment plan of my podiatrist, I endured having a PICC line implanted in my arm, through to my heart, and went for IV antibiotic treatment 3 hours a day, 7 days a week, for 8 weeks. Blood work was done during the treatment as well as after, and all the reports said there was no sign of infection. But that was not true - the massive amounts of antibiotics only put the bone infection into "remission" of sorts. When it recurred, I was referred to a surgeon that scheduled immediate surgery to save my foot and remove an approximate 2" piece of the 5th metatarsal including the deteriorated/infected bone, plus additional bone to make sure the infected bone removal was complete.
Though I have insurance, the co-payments and expenses have added up to quite a lot - well in excess of the funding I am trying to raise. Any contribution would be greatly appreciated. If you can't contribute, please share to help!
Though I have insurance, the co-payments and expenses have added up to quite a lot - well in excess of the funding I am trying to raise. Any contribution would be greatly appreciated. If you can't contribute, please share to help!

