Help Me Fix My Back

Story

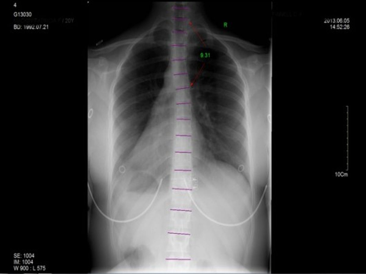
Main fundraiser photo

Help Me Fix My Back

Donation protected





Hello to friends and strangers alike, thanks for looking at this page. I've struggled with back issues my whole life, and I'm only just hitting 21.

Recently after finally getting my chance to go see a chiropractor and get some X rays done was when I realized how bad the damage was. The news I got back was that I'm doing pretty badly, which for someone who needs to sew to make a livelihood is a terrible thing to find out.

I knew it was bad from simply not being able to function without pain everyday, but these X rays really made it real for me. I was told very honestly that I don't have a lot of time before this gets more critical than it already is, and frankly I can barely get through the day anymore without searing pain in my back, to the point of maybe not being able to finish school.

The prognosis is that if I wait longer, the bones have a risk of fusing together in the wrong position, and causing much more serious heath issues that threaten to do a lot worse than just cause me pain.
I'm 20, and I don't want my life to end because there is a problem I can fix.

The unfortunate truth is though that getting this fixed is going to cost roughly $2000, and I nor my family has any hope of having anything resembling that.
Below you see the x ray images I received back showing the damage.
So I turn to you guys, friends, strangers, please lend me a hand. Even the smallest amounts help me start getting treatment, $5 helps, $10 helps, anything helps. So I implore you, I'm putting my faith in humanity, to help someone they may or may not know. Please don't let me down, please don't let this existence of living off of painkillers and willpower, be my future.
Donate

    Donate

    Organizer

    Patricia Mackin
    Organizer
    San Francisco, CA
    • Medical
    • Donation protected

    Your easy, powerful, and trusted home for help

    • Easy

      Donate quickly and easily

    • Powerful

      Send help right to the people and causes you care about

    • Trusted

      Your donation is protected by the GoFundMe Giving Guarantee