- C
- J
- J
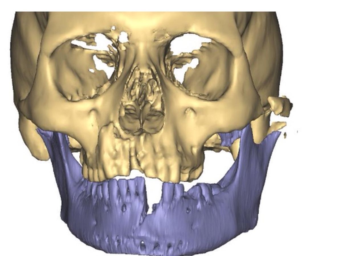
On July 15th Isaiah was in a motorcycle accident resulting in severe trauma to his jaw, eye and teeth. He will need facial and dental reconstructive surgery as result of this accident. We are requesting blessings to off set the medical cost while his life is put on hold. Any donations or prayers are welcome.
Update 7-17-16
Isaiah Dalfrey currently is still in a medically induced coma so he isn't in pain and to allow the swelling on his face to reduce. He was schedule to have facial reconstruction surgery in the morning but it has been postponed due to the swelling. However, he will be receiving a tracheotomy in the morning to secure his airway and remove the breathing tube he has. This is in preparation for the surgery and to take him off the ventilator machine. More updates to come.
Thank you to everyone for their donations and prayers so far!!
Please donate to Isaiah's cause as this will be an extremely hard journey for him and his family.


Memorial Hermann Trauma Center
Update 7-17-16
Isaiah Dalfrey currently is still in a medically induced coma so he isn't in pain and to allow the swelling on his face to reduce. He was schedule to have facial reconstruction surgery in the morning but it has been postponed due to the swelling. However, he will be receiving a tracheotomy in the morning to secure his airway and remove the breathing tube he has. This is in preparation for the surgery and to take him off the ventilator machine. More updates to come.
Thank you to everyone for their donations and prayers so far!!
Please donate to Isaiah's cause as this will be an extremely hard journey for him and his family.


Memorial Hermann Trauma Center

