Hello, everyone. My name is Stephanie Young. I know that most of you don't know me but I am humbly asking for a little bit of help here.
I recently went to the hospital for stroke symptoms. My arm went numb and I lost complete control of my hand. I was also slurring words really badly. Numerous tests were done on me...MRI's, CT scans, X-rays, ultrasounds, echo-cardiograms...everything.
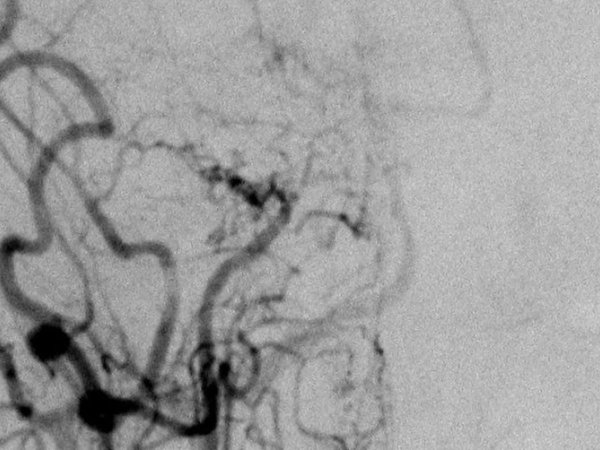
Turns out, I was diagnosed with a rare, progressive and incurable disease called, "moyamoya." The disease causes the arteries connecting to my brain to shrivel and close up in muscle tissue, which causes strokes over time, and gets worse and worse the longer it is left untreated.
The only potential treatment for it is to have bypass surgery directly on the carotid arteries on my brain. Without surgery, my next stroke could be fatal. Now, I've been sort of caught between a rock and a hard place. I am uninsured, and because of my condition, I am currently also unfit to work.
In order to even be assessed for surgery, I would have to make a $1000 deposit by the time of my appointment which would be on July 20th. I don't have this kind of money. Being a self-pay, and not being able to work makes it almost impossible to make these kinds of funds.
That is why I'm reaching out to you guys. Please....I'll try to do something in return. While my right hand is very weak and uncooperative, my left(dominant) hand works fine. I do art, and would gladly do some drawing or design work for anyone who wishes to give.
Also, any additional funds received will go directly towards my surgery.
God bless you guys!
~Stephanie
I recently went to the hospital for stroke symptoms. My arm went numb and I lost complete control of my hand. I was also slurring words really badly. Numerous tests were done on me...MRI's, CT scans, X-rays, ultrasounds, echo-cardiograms...everything.
Turns out, I was diagnosed with a rare, progressive and incurable disease called, "moyamoya." The disease causes the arteries connecting to my brain to shrivel and close up in muscle tissue, which causes strokes over time, and gets worse and worse the longer it is left untreated.
The only potential treatment for it is to have bypass surgery directly on the carotid arteries on my brain. Without surgery, my next stroke could be fatal. Now, I've been sort of caught between a rock and a hard place. I am uninsured, and because of my condition, I am currently also unfit to work.
In order to even be assessed for surgery, I would have to make a $1000 deposit by the time of my appointment which would be on July 20th. I don't have this kind of money. Being a self-pay, and not being able to work makes it almost impossible to make these kinds of funds.
That is why I'm reaching out to you guys. Please....I'll try to do something in return. While my right hand is very weak and uncooperative, my left(dominant) hand works fine. I do art, and would gladly do some drawing or design work for anyone who wishes to give.
Also, any additional funds received will go directly towards my surgery.
God bless you guys!
~Stephanie

