- E
- C
HELLO ALL!
This request goes out for Loving Help for a Very special boy and his Amazing Family-
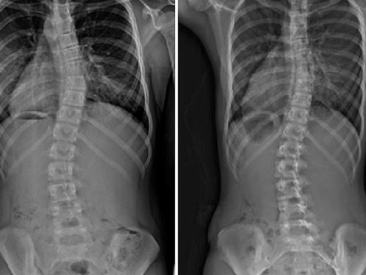
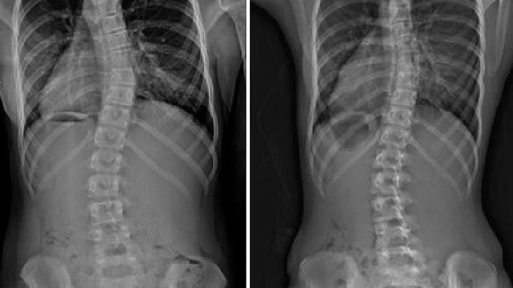
At 11years old, he has been diagnosed with a rare form of scoliosis.
His doctors have determined he will need to be immediately fitted for a brace that he will need to wear for 22 hours per day, (as an initial attempt to help correct his condition) with the possibility of additional treatment or surgery, due to the positioning of the syrinx in his spine and location of the curve.
Due to the financial burden of this current condition, his previous health concerns, multiple past procedures, along with limited insurance and financial options, the brace has become an additional 'Out of pocket' expense.
The brace will also need to be replaced every 9-12 months to compensate for his growth and to ensure further progress.
These unexpected costs, combined with the familys sudden lifestyle changes and limitations due to his current condition, have created an Urgent Need and Hope for Help and Healing!
The strength and courage he has shown throughout his short lifetime is remarkable❤
He just wants to be a 'Kid'
Thank you for your kind consideration-
Blessings,Health and Love to All XOXO
All donations will be received Gratefully!!
Stock photos used for privacy reasons-

Organizer and beneficiary
Mama Bear 2
Beneficiary

