- A
- A
- A
Hello friends , family, and all dog lovers! Thank you for taking the time to look at our fundraiser page.
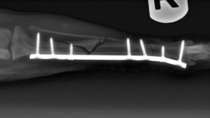
During our holiday trip up to NorCal to visit family, our beloved little chihuahua, Chiqui, that many of you know and love, was involved in an accident which resulted in her right, back leg being broken fairly severely. The break and additional fracture occured in both her tibia and fibula bones and were extensive enough to require an expensive surgery and recovery process: about $1,500 for the initial emergency care and hospitalization and $5,500 for the surgery and medication.
With this fundraiser, we are asking our friends and family who have been touched by Chiqui in any way, be it "friendly" bites or warm cuddles, to help offset the cost of the little critter's surgery. We thank you so much for the love that you've shown to her over the years. Any help in any amount that you provide would mean so much to her and to us as she, despite her size, is such a huge part of our family!
Thank you and God bless,
-Martin V
During our holiday trip up to NorCal to visit family, our beloved little chihuahua, Chiqui, that many of you know and love, was involved in an accident which resulted in her right, back leg being broken fairly severely. The break and additional fracture occured in both her tibia and fibula bones and were extensive enough to require an expensive surgery and recovery process: about $1,500 for the initial emergency care and hospitalization and $5,500 for the surgery and medication.
With this fundraiser, we are asking our friends and family who have been touched by Chiqui in any way, be it "friendly" bites or warm cuddles, to help offset the cost of the little critter's surgery. We thank you so much for the love that you've shown to her over the years. Any help in any amount that you provide would mean so much to her and to us as she, despite her size, is such a huge part of our family!
Thank you and God bless,
-Martin V

