
Surgery & Recovery for Linus
Linus is a 1 year old american short hair cat. He was rescued by me when he was 12 weeks old, along with his sister. Someone dumped him, his mom, and his sister in a box and left them in front of a local veterinarian's office when they were 4 weeks old. They were starved & flea ridden, and mom had a ton of skin issues. Naturally, as a second year veterinary student, their story warmed my heart and I took both him & his sister in as pets. Due to some unforeseen circumstances,
Linus has a CCL tear (think of an ACL injury in humans) that requires surgery. We were going to wait to do the surgery & keep him on pain meds until I can get more student loan money in January, but the instability in his joint has caused him to also break his distal femur. The surgery originally required an orthopedic specialist, and we could've waited to do it, but now it has turned into a pressing issue. He is in pain and his condition is getting worse, they need to go in and put plates by his fracture & fix the CCL. I can't in good conciseness keep him in pain, so I am trying to find a place with payment plans for him with no luck, as there are not that many places with orthopedic specialists in the area. Linus means the world to me, he has provided comfort & sanity with how stressful vet school is.
I originally was not going to pool money for this, and will still be looking into Credit Care options for him, but some friends reached out to me, willing to donate so we could speed up Linus's surgery & recovery. I made this gofundme pool for you kind souls & I wanna thank you for being so incredibly supportive. I didn't expect this much support. ;u; I will be adding the X Ray images for him later, for now enjoy his kitten pics all the way to now!
Any donation goes directly towards his funds for surgery, & pain meds. Thank you so much.
If you would like to see REALLY CUTE photos of him check out his instagram: https://www.instagram.com/avetstudentscats/
****UPDATE****
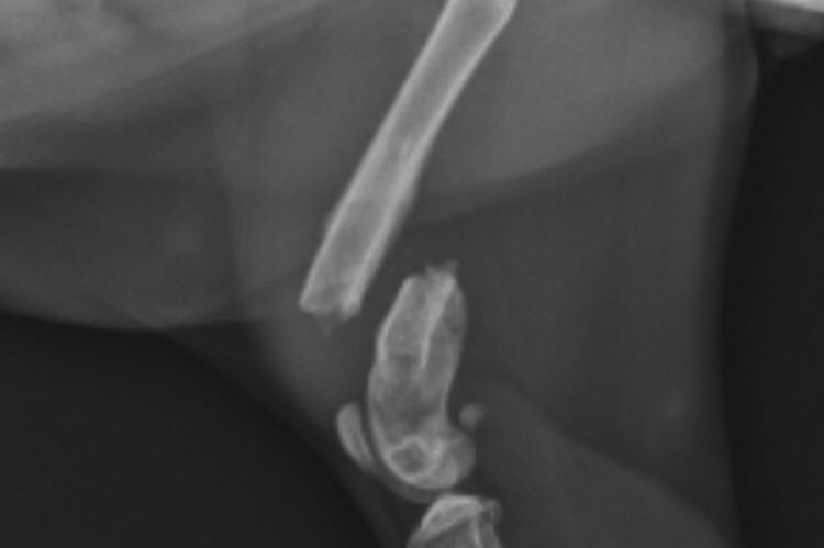
He was referred to my university (the veterinary school) because it is a difficult case. The specialists fixed the break but he may have bone cancer or a bacterial infection which means more costs past the ~3.8k estimate. They think the break is more likely due to that than a ligament issue like we originally thought because the bone has weird growths at the break. They sent a culture over to pathology & we will know an answer in 5 business days. I can pay 10% of the total costs at the end monthly with a 1.5% interest rate. Thank goodness for options!
Surgery went well! He got a bone plate inserted w 6 screws, leg & everything fixed up. He’s got a check up for stitches in 2 weeks, a radiograph check up in 4 weeks, & then another radiograph check up in 8 weeks. We need to wait on answers for cancer vs bacteria. Thankfully he’s not in pain anymore w meds.
If he tests positive for either, he will need chest radiographs which were not included in the original estimate. Fingers crossed that it doesn't havy anything else & all he needs is those 3 check ups.
I'm BLOWN away by your the support, thank you so much. I'll keep everyone posted.


Linus has a CCL tear (think of an ACL injury in humans) that requires surgery. We were going to wait to do the surgery & keep him on pain meds until I can get more student loan money in January, but the instability in his joint has caused him to also break his distal femur. The surgery originally required an orthopedic specialist, and we could've waited to do it, but now it has turned into a pressing issue. He is in pain and his condition is getting worse, they need to go in and put plates by his fracture & fix the CCL. I can't in good conciseness keep him in pain, so I am trying to find a place with payment plans for him with no luck, as there are not that many places with orthopedic specialists in the area. Linus means the world to me, he has provided comfort & sanity with how stressful vet school is.
I originally was not going to pool money for this, and will still be looking into Credit Care options for him, but some friends reached out to me, willing to donate so we could speed up Linus's surgery & recovery. I made this gofundme pool for you kind souls & I wanna thank you for being so incredibly supportive. I didn't expect this much support. ;u; I will be adding the X Ray images for him later, for now enjoy his kitten pics all the way to now!
Any donation goes directly towards his funds for surgery, & pain meds. Thank you so much.
If you would like to see REALLY CUTE photos of him check out his instagram: https://www.instagram.com/avetstudentscats/
****UPDATE****
He was referred to my university (the veterinary school) because it is a difficult case. The specialists fixed the break but he may have bone cancer or a bacterial infection which means more costs past the ~3.8k estimate. They think the break is more likely due to that than a ligament issue like we originally thought because the bone has weird growths at the break. They sent a culture over to pathology & we will know an answer in 5 business days. I can pay 10% of the total costs at the end monthly with a 1.5% interest rate. Thank goodness for options!
Surgery went well! He got a bone plate inserted w 6 screws, leg & everything fixed up. He’s got a check up for stitches in 2 weeks, a radiograph check up in 4 weeks, & then another radiograph check up in 8 weeks. We need to wait on answers for cancer vs bacteria. Thankfully he’s not in pain anymore w meds.
If he tests positive for either, he will need chest radiographs which were not included in the original estimate. Fingers crossed that it doesn't havy anything else & all he needs is those 3 check ups.
I'm BLOWN away by your the support, thank you so much. I'll keep everyone posted.


Organizer
Raz Swirl
Organizer
Columbus, OH