Medical bills for operation in Thailand

  • M
  • R
  • P
21 donors
0% complete

£1,844 raised of £5K

Medical bills for operation in Thailand

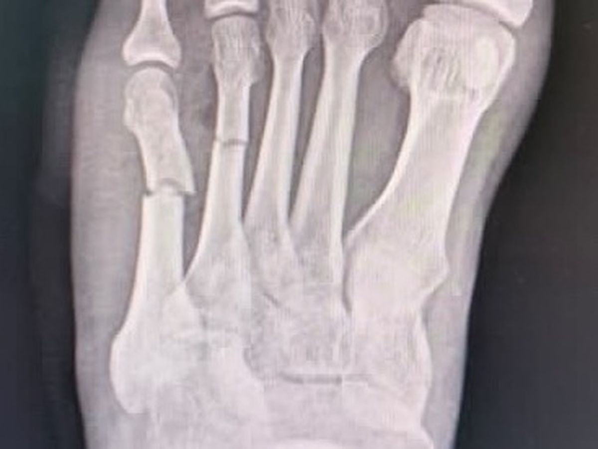
Hi everyone. It’s embarrassing to have to do this but I’ve had a motorcycle accident in Koh Phangan, Thailand and have been quite badly injured. It’s mostly superficial but I have had to have 8 stitches and have broken 2 metatarsal in my left foot that needs operating on. I was originally quoted 400,000 baht (around £10,000) so I was forced to discharge myself and get a boat to Koh Samui to a government hospital where I have been quoted around half of that. I’ve spent everything I have on medical bills and at this point I don’t even have enough to go and have my stitches taken out. I know it’s a lot to ask but if anybody could help in the smallest way possible I would appreciate anything at all. Thank you and sorry to come to you cap in hand. I’m just 6000 miles away from home with no money left. Thank you again guys ❤️

Organizer

Ryan Prince
Organizer
  • Medical
  • Donation protected

Your easy, powerful, and trusted home for help

  • Easy

    Donate quickly and easily

  • Powerful

    Send help right to the people and causes you care about

  • Trusted

    Your donation is protected by the GoFundMe Giving Guarantee